Πρόσφατα συνάντησα στο ιατρείο, μια κυρία με σοβαρό πρόβλημα διάβρωσης των δοντιών της, δηλ. με δόντια στα οποία είχε χαθεί σημαντικό μέρος οδοντικής ουσίας από χημικά αίτια.
Είχε ενημερωθεί από την ιστοσελίδα του ιατρείου για την διάβρωση των δοντιών και για την θεραπευτική αντιμετώπιση της με συντηρητικό τρόπο, που έχω αναλύσει σε τρία διαφορετικά περιστατικά στο παρελθόν εδώ, εδώ κι εδώ.
Είχε επισκεφτεί κι άλλους οδοντιάτρους και σκεφτόταν πολύ σοβαρά να μην κάνει τίποτε στα δόντια της γιατί πίστευε πως η παρέμβαση του οδοντιάτρου, μπορεί να καταστρέψει τα δόντια της περισσότερο.
Καταλαβαίνω τον φόβο και τον δισταγμό για τις οδοντιατρικές εργασίες, όπως και τον προβληματισμό για το κόστος που μπορεί να συνεπάγεται μια ολική αποκατάσταση των δοντιών.
Προβληματίστηκα αρκετά μετά την συζήτηση μας και με αφορμή όσα είπαμε, θα ήθελα να επισημάνω κάποια σημεία που θεωρώ σημαντικά για την αντιμετώπιση της διάβρωσης των δοντιών.
Δεν επεμβαίνουμε σε κάθε περιστατικό διάβρωσης των δοντιών με προσθετικές εργασίες.
Η διάβρωση έχει διαφορετικές κατηγορίες ανάλογα με την βαρύτητα του προβλήματος.
Στα πρώτα στάδια ο ρόλος του οδοντιάτρου είναι συμβουλευτικός με σκοπό να μειωθεί ο ρυθμός απώλειας της αδαμαντίνης.
Σε επόμενα στάδια, όταν έχει αρχίσει να αποκαλύπτεται η οδοντίνη, μπορούμε να κάνουμε πολύ μικρές αποκαταστάσεις, όπως εμφράξεις με ρητίνη για να προστατέψουμε την εκτεθειμένη οδοντίνη.
Μόνο στα προχωρημένα στάδια απώλειας οδοντικής ουσίας, μπορεί να χρειαστεί προσθετική αποκατάσταση η οποία με την εξέλιξη των υλικών και των τεχνικών που υπάρχουν στην διάθεση μας σήμερα, μπορεί να είναι πολύ συντηρητική.
Ένας άλλος φόβος που εκφράζουν οι ασθενείς, είναι πως τα ήδη ταλαιπωρημένα δόντια τους, θα τροχιστούν και θα χαθεί περισσότερη οδοντική ουσία από αυτην που έχει ήδη χαθεί.
Με τις σύγχρονες προσθετικές θεραπείες αντιμετώπισης της διάβρωσης των δοντιών, δεν αφαιρούμε παραπάνω οδοντική ουσία από αυτην που έχει ήδη χαθεί.
Δεν τροχίζουμε τα δόντια σε όλες τις διαστάσεις τους, όπως κάνουμε όταν θέλουμε να τοποθετήσουμε στεφάνες. Συμπληρώνουμε το μέρος του δοντιού που έχει χαθεί με μια μικρή προσθετική εργασία που μπορεί να είναι μια όψη ή ένα επένθετο πορσελάνης,
Τροποποιούμε τα δόντια ελαφρώς για να εξυπηρετήσουμε τις ανάγκες για την κατασκευή των όψεων ή των επένθετων αλλά αυτό γίνεται με προσεκτικό σχεδιασμό και καθορίζεται πριν ακόμη ξεκινήσουμε την θεραπεία.
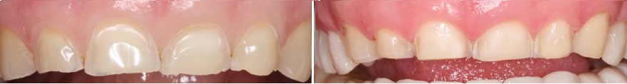
Δείτε για παράδειγμα στις φωτογραφίες που ακολουθούν πως είναι τα δόντια της ασθενούς όταν έρχεται στο ιατρείο για να ξεκινήσει την θεραπεία (φωτογραφία αριστερά) και πως φαίνονται τα ίδια δόντια αμέσως μετά το τέλος της προετοιμασίας τους για να δεχτούν τις όψεις πορσελάνης (φωτογραφία δεξιά).
Ενδεικτικό επίσης για την προστασία της υπάρχουσας οδοντικής ουσίας που διασφαλίζουν οι σύγχρονες τεχνικές, είναι και το πάχος των αποκαταστάσεων που τοποθετούμε στα δόντια, τις οποίες μπορείτε να δείτε χαρακτηριστικά στις φωτογραφίες που ακολουθούν.
Αριστερά βλέπουμε επένθετα ρητίνης τοποθετημένα στο εκμαγείο και δεξιά βλέπουμε το πάχος ενός εξ αυτών πριν την συγκόλληση του σε ένα δόντι.
Στην ακόλουθη φωτογραφία, βλέπουμε τα δόντια πριν (αριστερά) και αμέσως μετά (δεξιά) την συγκόλληση αυτών των αποκαταστάσεων πάνω τους.
Σε σχέση με το κόστος τέλος, εκτός από τα επένθετα πορσελάνης υπάρχει πλέον η δυνατότητα να αντιμετωπίζουμε τέτοια περιστατικά με αποκαταστάσεις σύνθετης ρητίνης, που είναι πιο οικονομικές.
Ο ρυθμός διάβρωσης της οδοντίνης είναι πολύ μεγαλύτερος απο τον ρυθμό καταστροφής της αδαμαντίνης.
Όταν η διάβρωση των δοντιών έχει προχωρήσει απο την αδαμαντίνη στην οδοντίνη, τα δόντια γίνονται πολύ ευαίσθητα και αποτρίβονται πιο γρήγορα σε σχέση με το προηγούμενο στάδιο. Η αποκατάσταση αυτών των δοντιών είναι σημαντική για την καλή τους πρόγνωση και όσο νωρίτερα γίνει τόσο καλύτερα θα είναι για την υγεία τους.
Τέλος, ας μην υποτιμούμε και την βελτίωση στην αισθητική των δοντιών και του χαμόγελου που μπορεί να επιφέρει μια τέτοια αποκατάσταση.
Ενημερωθείτε περισσότερο για την διάβρωση των δοντιών και τις συντηρητικές θεραπευτικές λύσεις που μπορούμε να προσφέρουμε, στα άρθρα:
1. Εμετοί στην εγκυμοσύνη, συνέπειες στα δόντια και θεραπεία
2. Διατροφικές διαταραχές και διάβρωση των δοντιών
3. Θεραπεία της διάβρωσης των δοντιών
4. Διάβρωση των δοντιών και προσθετική αντιμετώπιση με ελάχιστη παρέμβαση
και μην διστάσετε να επικοινωνήσετε μαζί μας για να βρούμε την θεραπευτική λύση που είναι κατάλληλη για την περίπτωση σας.