Πολλές φορές συναντούμε στα ιατρεία μας ασθενείς που σε νεαρή ηλικία είχαν ένα ατύχημα κατά το οποίο τραυμάτισαν ένα πρόσθιο δόντι.
Στην πορεία της ζωής τους, κάποια απ' αυτά τα δόντια χρειάζονται απονέυρωση, ίσως και κάποια ανασύσταση, αργότερα μια στεφάνη και για μερικά απο αυτά φτάνει η στιγμή που δεν μπορούν να αποκατασταθούν και η μόνη λύση είναι η εξαγωγή τους.
Αν ανήκετε στους ασθενείς που χάνουν ένα μπροστινό δόντι, ίσως έχετε ενημερωθεί και από προηγούμενη ανάρτηση στην ιστοσελίδα μας, εδώ όμως θα δούμε ένα περιστατικό απώλειας μπροστινού δοντιού, λίγο πιο σύνθετου από το προηγούμενο.
Η ασθενής, ετών 45, αντιμετώπιζε συχνά προβλήματα με το μπροστινό της δόντι το οποίο είχε στεφάνη, όπως και δύο γειτονικά του.
Το πρόβλημα της, ήταν πως η στεφάνη ξεκολλούσε τακτικά. Οι συνάδελφοι που προσπάθησαν να την βοηθήσουν, είχαν κολλήσει επανελλειμένως την εργασία, την είχαν τροποποιήσει και το αποτέλεσμα ήταν πως το δόντι πια αντιμετώπιζε και αισθητικά προβλήματα γιατί ήταν πιο κοντό από το διπλανό του και είχε μετακινηθεί προς τα έξω.
Στην φωτογραφία που ακολουθεί, βλέπουμε το χαμόγελο και την εικόνα των δοντιών της ασθενούς πριν την θεραπεία.
Αξιολογήσαμε το δόντι κλινικά και ακτινογραφικά με την βοήθεια του παραπέμποντως συναδέλφου περιοδοντολόγου και αποφασίσαμε την εξαγωγή του. Το πρώτο πρόβλημα που οφείλουμε να αντιμετωπίσουμε σε τέτοιες περιπτώσεις, είναι το είδος της προσωρινής αποκατάστασης που θα προσφέρουμε στην ασθενή μας, ώστε να είναι λειτουργική στο διάστημα της αναμονής για την οστεοενσωμάτωση του εμφυτεύματος της.
Κάθε περίπτωση είναι μοναδική, εδώ αποφασίσαμε να χρησιμοποιήσουμε τις γειτονικές προσθετικές εργασίες σαν στήριγμα του προσωρινού δοντιού.
Αφού βγάλαμε τις παλαιές στεφάνες κατασκευάσαμε μια προσωρινή γέφυρα η οποία στηριζόνταν στον διπλανό κεντρικό και πλάγιο τομέα και έφερε σαν "κρεμαστό" δόντι, αυτό που έπρεπε να εξαχθεί.
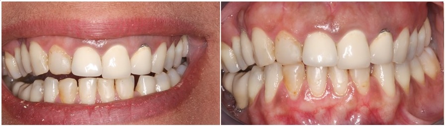
Στην εικόνα που ακολουθεί βλέπουμε το χαμόγελο της ασθενούς αρχικά και το χαμόγελο της μετά την αντικατάσταση των παλαιών στεφανών με προσωρινές στεφάνες.
Ο περιοδοντολόγος στην συνέχεια αφαίρεσε το δόντι, τοποθέτησε το εμφύτευμα και επανατοποθέτησε την προσωρινή εργασία που είχαμε προκατασκευάσει.
Αφήσαμε το εμφύτευμα για οστεοενσωμάτωση περίπου 3 μήνες και μετα την αποκάλυψη του, κατασκευάσαμε μια προσωρινή στεφάνη η οποία συνδεόνταν με το εμφύτευμα και είχε σκοπό να διαμορφώσει τα ούλα γύρω απ' αυτό.
Η ασθενής έμεινε με αυτή την προσωρινή εργασία 3 μήνες και όταν πια τα ούλα είχαν ωριμάσει προχωρήσαμε στην τελική αποκατάσταση.
Η ανατομία των ούλων γύρω από ένα εμφύτευμα αποτελεί σημαντικό παράγοντα για την επιτυχή έκβαση ενός τέτοιου περιστατικού.
Παρατηρήστε τόσο στην άνω όσο και στην φωτογραφία που ακολουθεί, το ωραίο προφίλ ανάδυσης που επιτύχαμε με την προσωρινή εργασία.
Με αυτό τον τρόπο εξασφαλίζουμε πως το δόντι που θα στηρίζεται στο εμφύτευμα θα έχει αρχιτεκτονική ούλων που θα προσομοιάζει με εκείνη του φυσικού δοντιού που χάθηκε.
Η τελική προσθετική εργασία περιελάμβανε και τα 4 μπροστινά δόντια.
Εκτός από το εμφύτευμα πάνω στο οποίο τοποθετήθηκε μια στεφάνη ζιρκονίου, κατασκευάστηκαν και δύο ολοκεραμικές στεφάνες που τοποθετήθηκαν στα διπλανά δόντια που είχαν χρησιμεύσει μέχρι εκείνη την στιγμή, σαν στηρίγματα της προσωρινής εργασίας.
Επίσης στον γειτονικό πλάγιο ο οποίος έφερε μια αποκατάσταση ρητίνης που με τα χρόνια είχε αποχρωματιστεί, κατασκευάσαμε μια όψη πορσελάνης.
Στις φωτογραφίες που ακολουθούν βλέπετε αριστερά την εικόνα των δοντιών και του χαμόγελου πριν την προσθετική εργασία και μετά από αυτήν.
Η θεραπευτική διαδικασία κράτησε περίπου 8 μήνες. Στο διάστημα αυτό, η ασθενής είχε από την πρώτη στιγμή καλύτερη στοματική υγεία από αυτήν με την οποία ήρθε στο ιατρείο.
Καταλαβαίνω πως είναι δύσκολο να χάσετε ένα μπροστινό δόντι, είναι όμως τόσες οι ποιοτικές λύσεις που υπάρχουν σήμερα, που αξίζει να τις εξετάσετε αν αντιμετωπίζετε προβλήματα με τα δόντια μας.
Φροντίστε τα δόντια σας εγκαίρως και έχετε μεγαλύτερες πιθανότητες επιτυχίας στην τελική αποκατάσταση.
Δόμνα Ευαγγελίδου, Προσθετολόγος