Τι είναι οι όψεις ρητίνης;
Οι όψεις ρητίνης χρησιμοποιούνται για να αλλάξουν το σχήμα ή/και το χρώμα των δοντιών με συντηρητικό τρόπο και ελάχιστη παρέμβαση στα φυσικά δόντια.
Πολλές φορές χρησιμοποιούμε για να περιγράψουμε την τεχνική αυτή, λέξεις όπως το Bonding ή Ανάπλαση ή Λίφτιγκ δοντιών.
Πότε χρησιμοποιούνται οι όψεις ρητίνης;
Με όψεις ρητίνης μπορούμε να κλείσουμε τα κενά μεταξύ των δοντιών, να βελτιώσουμε το σχήμα μικρών, κωνικών δοντιών, δοντιών που δεν έχουν ιδανική μορφολογία ή δοντιών με μικρά κατάγματα.
Μπορούμε επίσης να διορθώσουμε την μη ιδανική κλίση δοντιών και να αλλάξουμε μόνιμα το χρώμα των δοντιών.
Πώς γίνεται;
To Bonding των δοντιών γίνεται συνήθως με σύνθετη ρητίνη, υλικό που χρησιμοποιείται και στα λευκά σφραγίσματα.
Ο οδοντίατρος, τροποποιεί ελαφρώς την οδοντική επιφάνεια και την επεξεργάζεται με ένα αδροποιητικό υλικό και μια συγκολλητική ουσία.
Αμέσως μετά τοποθετεί πάνω στο δόντι ρητίνη κατά στρώματα και την πολυμερίζει με ειδικό φως, ώστε να σκληρύνει.
Ακολουθεί η διαμόρφωση και το γυάλισμα της ρητίνης, μέχρι να αποδοθεί τελικά το επιθυμητό αποτέλεσμα.
Ποια είναι τα πλεονεκτήματα της Ανάπλασης των δοντιών;
Είναι σύντομη τεχνική, ολοκληρώνεται σε ένα μόνο ραντεβού, είναι ελάχιστα παρεμβατική, προσφέρει άμεσα θεαματικά αποτελέσματα και είναι οικονομική.
Υπάρχουν μειονεκτήματα στην τεχνική;
Η σύνθετη ρητίνη που χρησιμοποιείται σαν υλικό είναι από την φύση της πορώδης.
Με το πέρασμα του χρόνου μπορεί να αποχρωματιστεί, αλλοιώνοντας το αρχικό αποτέλεσμα.
Η διάρκεια του αποτελέσματος εξαρτάται από την συντήρηση από τον οδοντίατρο με τακτικό γυάλισμα, ενώ η επιτυχία ή όχι της τεχνικής εξαρτάται κατά πολύ από την δεξιοτεχνία του οδοντιάτρου.
Πως μπορώ να ενημερωθώ περισσότερο για τις όψεις ρητίνης;
Δείτε το ενημερωτικό βίντεο του ιατρείου για τις όψεις ρητίνης που ακολουθεί
Δείτε επίσης, φωτογραφίες από περιστατικά που αντιμετωπίστηκαν στο ιατρείο μας, σε ένα μόνο ραντεβού με όψεις σύνθετης ρητίνης και ενημερωθείτε για την τεχνική και εδώ.
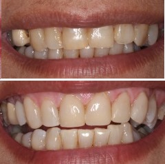
Όψεις σύνθετης ρητίνης στα 4 πρόσθια δόντια
Κλείσιμο διαστήματος μεταξύ των κεντρικών τομέων με σύνθετη ρητίνη
Αποκατάσταση μεγέθους προσθίων δοντιών άνω γνάθου με σύνθετη ρητίνη
Ανάπλαση προσθίων δοντιών άνω και κάτω γνάθου με σύνθετη ρητίνη
Διόρθωση σχήματος και μεγέθους προσθίων δοντιών με σύνθετη ρητίνη
Όψεις ρητίνης σε νεογιλό κυνόδοντα και σε κεντρικό τομέα
Όψεις ρητίνης σε πρόσθια δόντια της άνω γνάθου
Όψεις ρητίνης σε 4 πρόσθια δόντια της άνω γνάθου
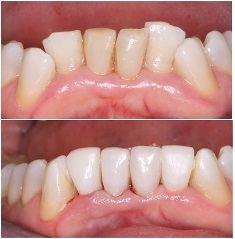
Όψεις ρητίνης σε 6 πρόσθια δόντια της κάτω γνάθου
Όψεις ρητίνης σε 6 πρόσθια δόντια της άνω γνάθου
Όψεις ρητίνης για κλείσιμο κενών ανάμεσα στα δόντια
Όψεις ρητίνης για κλείσιμο διαστήματος στα δόντια




