Δεν έχω καθόλου δόντια.Τι μου προσφέρουν τα εμφυτεύματα;
Με τα οδοντικά εμφυτεύματα μπορείτε να αλλάξετε τον τρόπο της ζωής σας.
Μπορείτε να κάνετε την οδοντοστοιχία σας πιο σταθερή ή μπορείτε να απαλλαγείτε από αυτήν και να αποκτήσετε καινούργια δόντια που λειτουργούν σαν τα φυσικά.
Ανάλογα με την ποσότητα του οστού που υπάρχει στις γνάθους σας και των αριθμό των εμφυτευμάτων που θα επιλέξετε να τοποθετήσετε, μπορείτε να αποκτήσετε κινητή προσθετική εργασία ή ακίνητη.
Πως μπορώ να κάνω την οδοντοστοιχία μου πιο σταθερή;
Με δύο εμφυτεύματα στην κάτω γνάθο και με τέσσερα στην άνω, μπορείτε να βελτιώσετε κατά πολύ την συμπεριφορά της οδοντοστοιχίας σας.
Οι οδοντοστοιχίες που στηρίζονται σε εμφυτεύματα λέγονται επένθετες και συγκρατούνται στα εμφυτεύματα με σφαιρικούς συνδέσμους ή με την βοήθεια δοκού.
Οι επένθετες οδοντοστοιχίες προσφέρουν μεγάλη σταθερότητα κατά την μάσηση και την ομιλία, βελτιώνοντας κατά πολύ την αυτοπεποίθηση σας.
Στην άνω γνάθο μάλιστα η επένθετη οδοντοστοιχία που στηρίζεται σε εμφυτεύματα, μπορεί να αφήνει ελεύθερη την υπερώα ώστε να έχετε καλύτερη γεύση και αίσθηση της τροφής.
Πως μπορώ να απαλλαγώ οριστικά από την οδοντοστοιχία μου;
Όταν μπορούμε να τοποθετήσουμε μεγαλύτερο αριθμό εμφυτευμάτων, τότε η προσθετική σας εργασία μπορεί να είναι ακίνητη.
Αυτή η εργασία αφαιρείται μόνο από τον γιατρό και προσεγγίζει περισσότερο από οποιαδήποτε άλλη τα φυσικά σας δόντια.
Μια ακίνητη προσθετική εργασία σε ασθενή χωρίς καθόλου δόντια, χρειάζεται τουλάχιστον 5 εμφυτεύματα στην κάτω γνάθο και 6 εμφυτεύματα στην άνω γνάθο για να στηριχτεί.
Ο ακριβής αριθμός των εμφυτευμάτων υπολογίζεται σε κάθε ασθενή ξεχωριστά και εξαρτάται από την διαθέσιμη ποσότητα οστού και το μήκος των εμφυτευμάτων που μπορούμε να τοποθετήσουμε.
Πως ξέρω αν είμαι κατάλληλος υποψήφιος για μια ακίνητη εργασία;
Το πρώτο που πρέπει να αξιολογήσει ο γιατρός, είναι η ποσότητα του οστού που υπάρχει στις γνάθους σας.
Στην κάτω γνάθο είναι σχεδόν πάντα εφικτή η τοποθέτηση 5 εμφυτευμάτων τουλάχιστον στην πρόσθια περιοχή της γνάθου όπου δεν υπάρχουν σημαντικά ανατομικά στοιχεία.
Στην άνω γνάθο, η τοποθέτηση 6 εμφυτευμάτων δεν είναι πάντα το ίδιο προβλέψιμη, αλλά είναι εφικτή με τις σύγχρονες χειρουργικές τεχνικές.
Όσο πιο σύντομα μετά την απώλεια των δοντιών σας, τοποθετήσετε τα εμφυτεύματα τόσο πιο πολύ διαθέσιμο οστό θα υπάρχει ώστε να μπορείτε ελεύθερα να επιλέξετε το είδος της προσθετικής εργασίας που επιθυμείτε.
Από τι υλικά είναι κατασκευασμένη η ακίνητη εργασία;
Μια ακίνητη εργασία που στηρίζεται σε εμφυτεύματα μπορεί να είναι φτιαγμένη από μέταλλο, ακρυλικά δόντια και ροζ ακρυλικό των οδοντοστοιχιών και ονομάζεται υβριδική ή μπορεί να είναι φτιαγμένη από μέταλλο και πορσελάνη οπότε ονομάζεται μεταλλοκεραμική και μοιάζει περισσότερο στις συνηθισμένες προσθετικές εργασίες.
Τελευταία, υπάρχουν στην διάθεση μας και νέα ρητινώδη υλικά υψηλής αντοχής, για την αισθητική επικάλυψη των μεταλλικών σκελετών, που επιτρέπουν απορρόφηση των δυνάμεων που αναπτύσσονται κατά την μάσηση και επιτρέπουν ευκολότερη επιδιόρθωση των προσθετικών εργασιών όταν υπάρξει ανάγκη.
Υβριδική ακίνητη προσθετική εργασία για την άνω γνάθο
Υβριδική ακίνητη προσθετική εργασία άνω γνάθου αντικαθιστά οδοντοστοιχία
Μεταλλοκεραμική ακίνητη εργασία σε εμφυτεύματα
Μεταλλοκεραμική ακίνητη εργασία σε εμφυτεύματα πριν και μετά την τοποθέτηση στο στόμα
Αντικατάσταση γέφυρας σε δόντια με μεταλλοκεραμική αποκατάσταση σε εμφυτεύματα
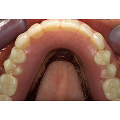
Επένθετη οδοντοστοιχία άνω γνάθου
Επένθετη οδοντοστοιχία άνω γνάθου τοποθετημένη στο στόμα
Επένθετη οδοντοστοιχία στηριγμένη σε εμφυτεύματα με σφαιρικούς συνδέσμους
Επένθετη οδοντοστοιχία κάτω γνάθου στηριγμένη σε εμφυτεύματα με Locators
Επένθετη οδοντοστοιχία κάτω γνάθου στηριγμένη σε εμφυτεύματα με δοκό
Πόσος χρόνος χρειάζεται για να αποκτήσω ακίνητη εργασία σε εμφυτεύματα;
Η αποκατάσταση των εμφυτευμάτων απαιτεί συνήθως 3 μήνες για την κάτω γνάθο και 4-6 μήνες για την άνω γνάθο. Στο διάστημα αυτό χρησιμοποιείτε μια οδοντοστοιχία.
Τα τελευταία χρόνια με την τεχνική της άμεσης φόρτισης μπορούμε να τοποθετήσουμε τα εμφυτεύματα και να τα αποκαταστήσουμε ταυτόχρονα, με την προϋπόθεση πως η ποιότητα του οστού είναι τόσο καλή ώστε αυτά τα εμφυτεύματα να μπορούν να αντέξουν στο μασητικό φορτίο.
Οι ασθενείς προσέρχονται στο ιατρείο με την παλιά τους οδοντοστοιχία ή με τα φυσικά τους δόντια που έχουν κριθεί προς εξαγωγή και αποχωρούν το βράδυ με μια καινούργια ακίνητη εργασία στηριγμένη σε εμφυτεύματα.
Η άμεση φόρτιση στα εμφυτεύματα, είναι εξαιρετικά επιτυχής όταν γίνει σωστά και μπορεί να επιτρέψει να μην χρησιμοποιήσετε οδοντοστοιχία ούτε για μια μέρα.
Δείτε παρακάτω είδη προσθετικών εργασιών σε περιστατικά ολικής νωδότητας, που αντιμετωπίστηκαν στο ιατρείο μας και αποκτήστε δωρεάν το ηλεκτρονικό βιβλίο μας με πληροφορίες για τα οδοντικά εμφυτεύματα εδώ .
Μάθετε επίσης πολλές χρήσιμες πληροφορίες στο βίντεο που ακολουθεί:




