Μιας και δεν γεννηθήκαμε όλοι οι άνθρωποι με όμορφα δόντια, οι οδοντίατροι χρησιμοποιούμε πολλούς τρόπους για να επιτύχουμε βελτίωση στην αισθητική των δοντιών και του χαμόγελου.
Ένας από αυτούς είναι και η τεχνική του bonding ή lifting δοντιών, με την οποία συγκολλούμε στην εξωτερική επιφάνεια των δοντιών σύνθετη ρητίνη, με σκοπό να αλλάξουμε το χρώμα ή το σχήμα των δοντιών ώστε να βελτιώσουμε την εικόνα του χαμόγελου.

Με bonding, εφαρμόζονται στα δόντια και οι όψεις πορσελάνης, αλλά στην Ελλάδα ο όρος χρησιμοποιείτε κυρίως για να περιγράψει την συγκόλληση της ρητίνης πάνω στο δόντι.
Πώς γίνεται;
Ο οδοντίατρος, τροποποιεί ελαφρώς την οδοντική επιφάνεια και την επεξεργάζεται με ένα αδροποιητικό υλικό και μια συγκολλητική ουσία. Αμέσως μετά τοποθετεί πάνω στο δόντι ρητίνη κατά στρώματα και την πολυμερίζει με ένα ειδικό φως, ώστε να σκληρύνει. Ακολουθεί η διαμόρφωση και το γυάλισμα της ρητίνης, μέχρι να αποδοθεί τελικά το επιθυμητό αποτέλεσμα.

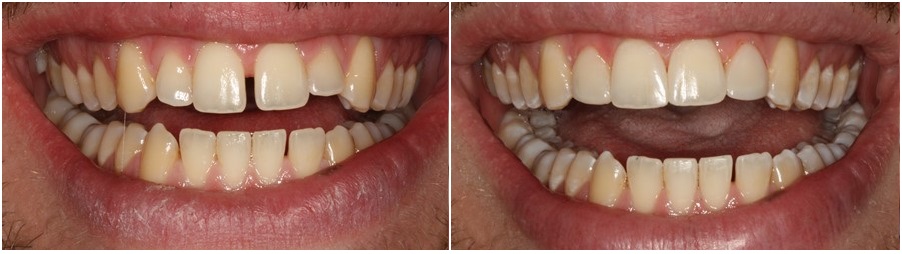
Με το bonding μπορούμε να:
- κλείσουμε τα κενά μεταξύ των δοντιών,
- βελτιώσουμε το σχήμα μικρών, κωνικών δοντιών, δοντιών που δεν έχουν ιδανική μορφολογία ή δοντιών με μικρά κατάγματα,
- διορθώσουμε την μη ιδανική κλίση δοντιών,
- αλλάξουμε μόνιμα το χρώμα των δοντιών.
Πλεονεκτήματα:
- είναι σύντομη τεχνική, ολοκληρώνεται σε ένα μόνο ραντεβού διάρκειας 2-3 ωρών,
- απαιτεί ελάχιστη αφαίρεση οδοντικής ουσίας,
- προσφέρει άμεσα θεαματικά αποτελέσματα,
- είναι οικονομική και
- επιτρέπει την κατασκευή όψεων πορσελάνης αργότερα.
Μειονεκτήματα:
- η σύνθετη ρητίνη, είναι πορώδες υλικό. Με το πέρασμα του χρόνου και την χρήση χρωστικών μπορεί να αποχρωματιστεί, αλλοιώνοντας το αρχικό αποτέλεσμα,
- χρειάζεται συντήρηση από τον οδοντίατρο με τακτικό γυάλισμα και
- το αισθητικό αποτέλεσμα εξαρτάται από την δεξιοτεχνία του οδοντιάτρου.
Εναλλακτικές λύσεις είναι οι:
- όψεις πορσελάνης, όταν επιθυμείτε πιο οριστικό και σταθερό στον χρόνο αποτέλεσμα ή οι
- στεφάνες, αν τα δόντια έχουν πολλά σφραγίσματα και λίγη οδοντική ουσία
Αν επιθυμείτε μια γρήγορη και οικονομική βελτίωση της εικόνας των δοντιών και του χαμόγελου σας, τότε το bonding είναι μια εξαιρετική λύση.

Το καλό αποτέλεσμα διατηρείται με φροντίδα των δοντιών σας, τακτικό βούρτσισμα και καλή υγιεινή, ενώ περιοδικά πρέπει να επισκέπτεστε τον οδοντίατρο.
Υπό αυτές τις προυποθέσεις, το bonding μπορεί να διαρκέσει 7-10 χρόνια.
Πριν προχωρήσετε στην θεραπεία, είναι σκόπιμο να επιλέξετε τον γιατρό που θα σας φροντίζει με μεγάλη προσοχή, γιατί το τελικό αποτέλεσμα εξαρτάται κατά πολύ από την δεξιοτεχνία του/της.
Ζητήστε να σας δείξει φωτογραφίες από τα περιστατικά που έχει θεραπεύσει για να αντιληφθείτε αν έχει ή όχι τις δεξιότητες που απαιτούνται.
Δείτε εδώ φωτογραφίες απο περιστατικά του ιατρείου μας, που αντιμετωπίστηκαν με bonding και διαβάστε περισσότερα για την εφαρμογή της τεχνικής σε στραβά δόντια, σε δόντια με κενά ή σε δόντια που χρειάζονται ήπιες βελτιώσεις.
Μην παραλείψετε να δείτε και το βίντεο που ενημερώνει με κάθε λεπτομέρεια για την τεχνική:
Έχετε άλλες απορίες για τα bonding; Το έχετε δοκιμάσει; Τι γνώμη έχετε;







