Πως να πει κανείς πως ένα χαμόγελο είναι γερασμένο, αν δεν γνωρίζει πως είναι το νεανικό;
Ας ξεκινήσουμε λοιπόν με τα βασικά. Τι κάνει ένα χαμόγελο νεανικό;
Ένα νεανικό χαμόγελο χαρακτηρίζεται από δόντια με μικρές αποκλίσεις ως προς το χρώμα τους, που έχουν μέγεθος φυσιολογικό χωρίς αποτριβές. Διατηρούν με τις σωστές επαφές τους, το ύψος στο κάτω μέρους του προσώπου ίσο περίπου με το άνω και μέσο τριτημόριο του προσώπου.
Το σίγουρο είναι, πως το νεανικό χαμόγελο δεν είναι απαραίτητα αποκλειστικό προνόμιο των νεαρών ανθρώπων. Ασφαλώς και οι νέοι άνθρωποι έχουν μεγαλύτερη πιθανότητα να έχουν ένα νεανικό χαμόγελο σε σχέση με τους μεγαλύτερους σε ηλικία, αλλά η ηλικία από μόνη της δεν είναι καθοριστική.
Δείτε για παράδειγμα το χαμόγελο μιας κοπέλας 28 χρονών(αριστερά) και το χαμόγελο ενός άντρα 30 ετών (δεξιά).

Παρατηρείστε την έντονη αποτριβή, το κιτρινωπό χρώμα και την ανομοιομορφία στο χρώμα των δοντιών.
Αν δεν σας έλεγα την ηλικία τους, είναι πιθανό βλέποντας την φωτογραφία να υπολογίζατε πως τα χαμόγελα αυτά ανήκουν σε μεγαλύτερους σε ηλικία ανθρώπους.
Είναι αλήθεια πως ο χρόνος δεν αφήνει ανεπηρεάστο το χαμόγελο μας.
Οι πρώτες αλλαγές εμφανίζονται με την αλλαγή του χρώματος των δοντιών, αλλά προοδευτικά υπάρχει και αλλαγή στο σχήμα τους γιατί καθώς τα δόντια λειτουργούν, φθείρονται και αλλάζει η μορφολογία τους.
Παρατηρούμε σταδιακά επιπέδωση στο τελείωμα τους και εξομάλυνση των ιδιαίτερων χαρακτηριστικών των δοντιών. Πολλές φορές επίσης με το πέρασμα του χρόνου μπορεί στα δόντια να χρειαστεί να γίνουν απονευρώσεις ή σφραγίσματα ενώ κάποιες φορές χάνονται δόντια από τερηδόνα ή περιοδοντίτιδα.
Όταν τα δόντια που χάνονται δεν αναπληρώνονται, τα γειτονικά δόντια μετακινούνται στην κενή θέση και η αλλαγή αυτή μπορεί σιγά σιγά να οδηγήσει και στην απώλεια της κάθετης διάστασης του προσώπου.
Οι αλλαγές συμβαίνουν συνήθως σταδιακά και έτσι χρειάζεται αρκετός χρόνος για να αθροιστούν και να δημιουργήσουν ένα χαμόγελο επηρεασμένο από την πάροδο του χρόνου.
Συνοπτικά το "γερασμένο" χαμόγελο οφείλεται συνήθως:
1. σε δόντια που σκουραίνουν με τον χρόνο, είτε φυσιολογικά είτε από απονεύρωση και χρώση παλαιών σφραγισμάτων
2. σε δόντια με αποτριβή, που χάνουν την μορφολογία τους
3. σε απώλεια της κάθετης διάστασης του προσώπου, λόγω της αποτριβής των δοντιών και/ή της απώλειας τους
Για να διατηρήσετε το χαμόγελο σας νεανικό, πρέπει να επισκέπτεστε τον οδοντίατρο σας τακτικά.
Με αυτό τον τρόπο θα προλάβετε τυχόν προβλήματα στην αρχή τους και δεν θα χρειαστεί να ξοδέψετε πολύ χρόνο και χρήμα για να τα αντιμετωπίσετε. Αν χρειάζεστε σφραγίσματα, αυτά θα είναι μικρά σε μέγεθος, και έτσι μειώνετε την ανάγκη για απονευρώσεις ή και για εξαγωγές των δοντιών. Αν ο οδοντίατρος διαπιστώσει πως τρίβετε τα δόντια σας, μπορεί να κατασκευάσει για εσάς ένα νάρθηκα προστασίας που θα μειώσει την περαιτέρω αποτριβή των δοντιών σας.
Ανάλογα με την αιτία που έχει προκαλέσει το γερασμένο σας χαμόγελο, ο οδοντίατρος μπορεί να προτείνει λύσεις που θα σας βοηθήσουν να νιώσετε καλύτερα με το χαμόγελο σας.
Οι συνηθέστερες τεχνικές γα να βελτιώσετε ένα "γερασμένο" χαμόγελο είναι:
1.Λεύκανση των δοντιών ή και εσωτερική λεύκανση απονευρωμένων δυσχρωμικών δοντιών
Δείτε την χαρακτηριστική περίπτωση ασθενούς 68 ετών με υγιή οδοντικό φραγμό και έντονες αποτριβές που απέκτησε πιο υγιή εικόνα των δοντιών μόνο με την λεύκανση τους.

Ακόμη και όταν πρότεινα κάποιες επιπλέον συντηρητικές αποκαταστάσεις για να βελτιώσω την εικόνα των αποτριβών ο ασθενής ήταν τόσο ευχαριστημένος, που προτίμησε να μείνει μόνο με το αποτέλεσμα της λεύκανσης.
Η λεύκανση μπορεί να γίνει στο ιατρείο σε 45 μόνο λεπτά ή με εξατομικευμένους νάρθηκες στο σπίτι.
2.Σε δόντια με αποτριβή μπορούμε να διορθώσουμε το σχήμα με όψεις πορσελάνης ώστε να βελτιώσετε το χρώμα και την μορφολογία τους και να αποδώσουμε χαρακτηριστικά που συναντούμε σε νεώτερους ανθρώπους.
Είναι χαρακτηριστική η εικόνα της ασθενούς μας που σε ηλικία 55 ετών απέκτησε με την βοήθεια όψεων πορσελάνης ένα χαμόγελο που την βοηθούσε να δείχνει πολύ νεότερη.
Για την απόδοση των χαρακτηριστικών των καινούργιων δοντιών, χρησιμοποιήσαμε σαν πρότυπο την μορφολογία των δοντιών της κόρης της που ήταν 25 ετών.
Ακόμη και αν κάποιος δεν επιλέξει τις όψεις πορσελάνης μπορούμε να επιτύχουμε ένα υγιές και νεανικό χαμόγελο με την βοήθεια των όψεων ρητίνης, όπως στο περιστατικό της φωτογραφίας.

Ο ασθενής μας ήταν μόλις 45 ετών και είχε χάσει μεγάλο μέρος της οδοντικής ουσίας των πρόσθιων δοντιών λόγω βρυγμού.
Μόνο το βελτιωμένο χαμόγελο αν παρατηρήσει κανείς, νιώθει την αυτοπεποίθηση που εκπέμπει ο ασθενής με την καινούργια εικόνα των δοντιών του.
3.Τέλος η απώλεια της κάθετης διάστασης του προσώπου και του τόνου του άνω χείλους μπορεί να αλλοιώσει σημαντικά την εικόνα του προσώπου κάνοντας το να δείχνει γερασμένο.


Με μια αποκατάσταση που συμπληρώνει τα δόντια που λείπουν, τα φυσιολογικά στοιχεία ενός νεανικoύ προσώπου όπως είναι η σωστή κάθετη διάσταση και η στήριξη του άνω χείλους, μπορούν να αποκατασταθούν με απόλυτη επιτυχία χαρίζοντας σας πολλά χρόνια.
Μπορούμε λοιπόν να δημιουργήσουμε ένα νεανικό χαμόγελο σε μεγαλύτερης ηλικίας ανθρώπους, δίνοντας τους έτσι την δυνατότητα να νιώσουν και να φαίνονται νεώτεροι χωρίς να κάνουν αισθητικές παρεμβάσεις στο υπόλοιπο πρόσωπο.
Ακόμη και αν επιχειρήσετε να βελτιώσετε την εικόνα του προσώπου σας με τεχνικές πλαστικής χειρουργικής ή αισθητικής δερματολογίας, δεν θα μπορέσετε να επιτύχετε ένα ωραίο αποτέλεσμα αν τα δόντια σας δεν δείχνουν υγιή και το χαμόγελο σας νεανικό.
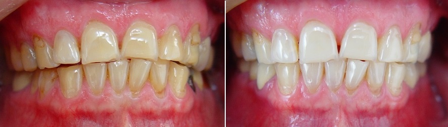
Τέλος, επειδή όπως έλεγα και στην αρχή το "γερασμένο" χαμόγελο δεν είναι αποκλειστικό προνόμιο των μεγαλύτερων σε ηλικία ανθρώπων δείτε πως μεταμορφώσαμε το χαμόγελο των νεαρών ασθενών στους οποίους αναφέρθηκα στην πρώτη μου φωτογραφία, και πείτε μου:

Δεν αξίζει να προσφέρετε στον εαυτό σας την χαρά να χαμογελάτε με σιγουριά, όποια και αν είναι η ηλικία σας;







