Η περιοδοντίτιδα είναι μια από τις σοβαρότερες ασθένειες των δοντιών.
Είναι η εξέλιξη της ουλίτιδας δηλ. της φλεγμονής των ούλων, η οποία όταν δεν αντιμετωπιστεί εγκαίρως εξελίσσεται σε περιοδοντίτιδα.
Η φλεγμονή επεκτείνεται από τα ούλα στο οστό που στηρίζει τα δόντια, το οποίο σιγά-σιγά υποχωρεί.
Όσο η περιοδοντίτιδα δεν αντιμετωπίζεται, το οστό χάνεται σταδιακά και από ένα σημείο και μετά τα δόντια αρχίζουν να κινούνται και οδηγούνται σε εξαγωγή.
Είναι αρκετά συνηθισμένο λόγω της νόσου, να χάνονται πίσω δόντια τα οποία έχουν ως σκοπό την μάσηση. Οι ασθενείς τότε μασούν με τα μπροστινά τους δόντια τα οποία επειδή δεν είναι φτιαγμένα για να δέχονται δυνάμεις μάσησης, αρχίζουν και μετακινούνται προς τα έξω.
Οι ασθενείς που δεν έχουν έγκαιρη οδοντιατρική φροντίδα παρατηρούν έντονα συμπτώματα όπως η κινητικότητα, η μετακίνηση και η απώλεια των δοντιών. Συχνό παράπονο τους, είναι πως τα δόντια που χάνουν είναι ολόγερα. Στην πραγματικότητα τα δόντια μπορεί να είναι γερά, αλλά επειδή το θεμέλιο που τα στηρίζει νοσεί είναι αναπόφευκτο αργά ή γρήγορα να χαθούν.
Η περιοδοντίτιδα αντιμετωπίζεται με επιτυχία από οδοντιάτρους και εξειδικευμένους περιοδοντολόγους. Με συνεχή παρακολούθηση και φροντίδα οι περιοδοντικοί ασθενείς μπορούν να διατηρήσουν τα δόντια τους για πολλά χρόνια.
Τα κύρια προβήματα που αντιμετωπίζουν οι περιοδοντολογικοί ασθενείς και χρειάζονται προσθετολογική βοήθεια στο ιατρείο μας, είναι:
Μετακίνηση δοντών εκτός οδοντικού τόξου
Δημιουργία κενών μεσοδόντιων χώρων και
Απώλεια πολλών ή όλων των δοντιών
Απαραίτητη προϋπόθεση για την προσθετική αποκατάσταση είναι η θεραπεία της περιοδοντίτιδας.
Μόνο μετά την αντιμετώπιση της φλεγμονής και την δέσμευση του ασθενούς σε συνεχή παρακολούθηση, μπορούμε να αναλάβουμε την προσθετική θεραπεία των περιοδοντικών ασθενών. Πολλές φορές μάλιστα, συνεργαζόμαστε και με ορθοδοντικούς οι οποίοι αναλαμβάνουν να μετακινήσουν τα δόντια στην σωστή τους θέση, ώστε να ακολουθήσει μια προβλέψιμη προσθετική θεραπεία.
Παρακάτω θα δείτε μια σειρά από περιστατικά προσθετικής αποκατάστασης σε περιοδοντικούς ασθενείς που αντιμετωπίστηκαν στο ιατρείο μας, ταξινομημένα ανάλογα με το βασικό πρόβλημα που αντιμετώπιζαν οι ασθενείς μας.
1. Μετακίνηση δοντιών εκτός του οδοντικού τόξου:
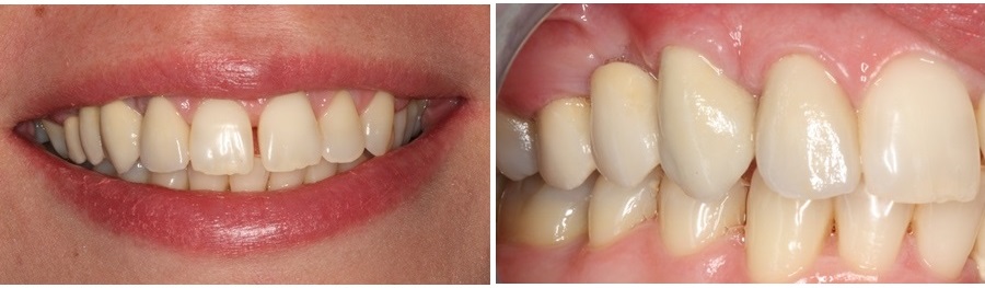
Ξεκινούμε με το παράδειγμα νεαρής ασθενούς η οποία νόσησε από περιοδοντίτιδα, θεραπεύτηκε από εξειδικευμένο περιοδοντολόγο και αναζητούσε μια αισθητική λύση για τον πλάγιο τομέα ο οποίος είχε μετακινηθεί έξω από το οδοντικό τόξο και επηρέαζε την αισθητική του χαμόγελου της.
Στις φωτογραφίες, βλέπετε την αρχική εικόνα του χαμόγελου της και την αντίστοιχη ενδοστοματική εικόνα. 
Αν αντιμετωπίζαμε το πρόβλημα μόνο στον πλάγιο τομέα, θα έπρεπε πιθανότατα να το τροχίσουμε το δόντι τόσο πολύ που θα χάναμε το μεγαλύτερο του τμήμα.
Συνδυάζοντας την αισθητική βελτίωση του πλάγιου τομέα με παρέμβαση στον διπλανό κυνόδοντα, μπορούμε να μειώσουμε την ποσότητα της οδοντικής ουσίας που χρειάζεται να αφαιρεθεί προκειμένου το δόντι να έρθει σε σωστή θέση στο οδοντικό τόξο.
Αντικαταστήσαμε την γέφυρα που είχε η ασθενής στα πίσω δόντια της, επεκτείνοντας την έως τον κυνόδοντα.

Έτσι και καλύτερη στήριξη προσφέρουμε στην υπάρχουσα γέφυρα, αλλά και την εικόνα του κυνόδοντα βελτιώσαμε.
Ταυτόχρονα τροχίσαμε τον πλάγιο τομέα και κατασκευάσαμε μια καινούργια στεφάνη που έδωσε την χαμένη αρμονία στο χαμόγελο της ασθενούς.
Στην περίπτωση άλλης νεαρής ασθενούς με περιοδοντίτιδα, βλέπουμε πως ο κεντρικός τομέας της άνω γνάθου είχε μετακινηθεί σημαντικά.
Η οστική απώλεια γύρω από το δόντι ήταν τόσο μεγάλη που τελικά ήταν απαραίτητη η εξαγωγή του δοντιού.
Στην θέση του ελλείποντος δοντιού, επιλέξαμε να κατασκευάσουμε μια ολοκεραμική γέφυρα ζιρκονίου η οποία πέτυχε να αποκαταστήσει το πρόβλημα τόσο λειτουργικά όσο και αισθητικά.
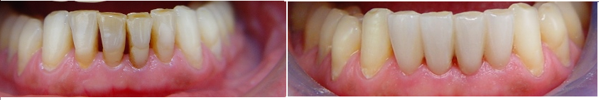
Στην τελευταία περίπτωση αυτής της κατηγορίας, η ασθενής ήταν δυσαρεστημένη με την αισθητική του χαμόγελου της λόγω της μετακίνησης όλων των πρόσθιων δοντιών και την δημιουργία κενών ανάμεσα τους.
Μετά την θεραπεία της περιοδοντικής νόσου, αλλάξαμε τις στεφάνες που είχε ήδη στα δόντια της, κλείσαμε τα κενά και δώσαμε ικανοποιητική αισθητική και αρμονία στο χαμόγελο της.
Υπάρχουν επίσης περιπτώσεις που τα αισθητικά προβλήματα που προκύπτουν από την περιοδοντίτιδα, μπορούν να αντιμετωπιστούν με όψεις ρητίνης.
Στο περιστατικό που βλέπουμε στην ακόλουθη φωτογραφία, η ασθενής είχε ήδη όψεις ρητίνης φτιαγμένες από άλλον συνάδελφο.
Οι όψεις είχαν αντιμετωπίσει την μετακίνηση των δοντιών εν μέρει, αλλά δεν είχαν λύσει το πρόβλημα εντελώς.
Αφαίρεσα τις παλαιές όψεις και σε διάστημα λίγων ωρών βελτίωσα τις σχέσεις των δοντιών και την εικόνα του χαμόγελου, με νέες όψεις ρητίνης.
.
2. Δημιουργία κενών μεσοδόντιων χώρων
Μερικές φορές μετά την θεραπεία της περιοδοντικής νόσου, δημιουργούνται κενοί μεσοδόντιοι χώροι, που μπορούν να κλείσουν με όψεις πορσελάνης όπως στο παράδειγμα της φωτογραφίας.
3. Απώλεια πολλών δοντιών :
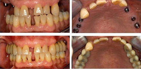
Η απώλεια των πίσω δοντιών είναι εξαιρετικής βαρύτητας γιατί δημιουργεί τόσο αισθητικά όσο και λειτουργικά προβλήματα.

Στο περιστατικό της φωτογραφίας τοποθετήθηκαν έξι εμφυτεύματα στην άνω γνάθο τα οποία αντικατέστησαν όλα τα δόντια που είχαν χαθεί, με ακίνητες κοχλιούμενες γέφυρες.
Με έγκαιρη αποκατάσταση με οδοντικά εμφυτεύματα, μπορούμε να βελτιώσουμε όχι μόνο την μάσηση και την αισθητική αλλά και την πρόγνωση των πρόσθιων φυσικών δοντιών τα οποία αν δεν στηριχτούν κατάλληλα θα καταρρεύσουν.
Όταν τέλος η περιοδοντική νόσος είναι πολύ σοβαρή και δεν υπάρχει θεραπεία για τα δόντια τότε αποφασίζουμε την εξαγωγή των δοντιών και την αντικατάσταση τους είτε με ολική οδοντοστοιχία είτε με οδοντικά εμφυτεύματα, όπως στο περιστατικό της επόμενης φωτογραφίας.

Αν αντιμετωπίζετε προβλήματα με τα ούλα σας, επισκεφτείτε εγκαίρως ένα περιοδοντολόγο.
Μπορείτε να σώσετε τα δόντια σας και με την βοήθεια της κατάλληλης προσθετικής αποκατάστασης να αποκτήσετε ένα θαυμάσιο αισθητικό και λειτουργικό αποτέλεσμα. Μην διστάσετε να επικοινωνήσετε μαζί μας για να συζητήσουμε το πρόβλημα που αντιμετωπίζετε.
Δόμνα Ευαγγελίδου, Προσθετολόγος,
intro image found here







