Γνωρίζετε το πιο συνηθισμένο αντικείμενο εργασιών του προσθετολόγου; Το είδος στο οποίο έχουμε εξειδικευθεί να αντιμετωπίζουμε με επιτυχία;
Πρόκειται για τις ολικές στοματικές αποκαταστάσεις, τις εργασίες που αφορούν σε ένα μεγάλο αριθμό δοντιών, είναι πολύ απαιτητικές και έχουμε εκπαιδευτεί να κατασκευάζουμε με επιτυχία.
Όταν πολλά από τα δόντια σας έχουν χαθεί ή έχουν υποστεί φθορές, είναι πιθανόν και οι σχέσεις μεταξύ των δοντιών να έχουν αποδιοργανωθεί. Σε τέτοια περίπτωση, η θεραπεία είναι μια εκτεταμένη προσθετική εργασία που θα αντιμετωπίσει ταυτόχρονα τόσο τα προβλήματα των δοντιών και όσο και τις μεταξύ τους σχέσεις.
Η προσθετική αυτή εργασία πρέπει να αποκαθιστά το σωστό ύψος του κάτω μέρους του προσώπου, να επιτρέπει στα δόντια να κλείνουν σωστά και να μην καταπονεί το πρόσωπο και του μύες. Οφείλει επίσης να στηρίζει τα χείλη και το πρόσωπο με τέτοιο τρόπο ώστε να μπορείτε να χαμογελάτε και να νιώθετε φυσικά και άνετα.
Η ολική αποκατάσταση είναι μια προσθετική εργασία που περιλαμβάνει όλα ή σχεδόν όλα τα δόντια των ασθενών μας και τα συμπληρώνει ή τα αποκαθιστά με διάφορα μέσα. Κάποια δόντια μπορεί να αποκατασταθούν με επένθετα, κάποια άλλα με στεφάνες, ενώ τα δόντια που λείπουν μπορεί να αποκατασταθούν με γέφυρες, εμφυτεύματα ή ακόμη και με οδοντοστοιχίες.
Ενημερωθείτε στο βίντεο για τις προυποθέσεις επιτυχίας και για τον τρόπο με τον οποίο γίνεται μια ολική στοματική αποκατάσταση.
Με άλλα λόγια, η ολική στοματική αποκατάσταση είναι μια συνολική θεραπεία των οδοντικών προβλημάτων που χρησιμοποιεί πολλά θεραπευτικά μέσα, ανάλογα με τις ανάγκες του κάθε δοντιού ξεχωριστά και του στόματος στο σύνολο, με σκοπό να προσφέρει στους ασθενείς μας την δυνατότητα να μασούν άνετα, να μην πονούν να έχουν καλή αισθητική δοντιών και προσώπου.
Η απλούστερη μορφή ολικής στοματικής αποκατάστασης είναι μια ολική οδοντοστοιχία, η οποία χρησιμοποιείται όταν δεν υπάρχουν καθόλου δόντια στο στόμα. Αναπληρώνει εκτός από τα δόντια και όλα τα χαρακτηριστικά του προσώπου που έχουν χαθεί, όπως βλέπουμε στην φωτογραφία που ακολουθεί.
Τα δόντια τοποθετούνται σε τέτοιες θέσεις ώστε να αποδώσουν το σωστό ύψος προσώπου, την στήριξη του χείλους και τις σωστές σχέσεις των γνάθων.

Εκτός από τις οδοντοστοιχίες όμως, οι πιο απαιτητικές ολικές αποκαταστάσεις αφορούν σε εργασίες που στηρίζονται σε δόντια, γιατί κάθε δόντι αντιμετωπίζεται ξεχωριστά ενώ όλα μαζί πρέπει να δημιουργούν ένα αρμονικό σύνολο.
Τα δόντια εξετάζονται για την κατάσταση του πολφού τους, για την ανάγκη ή μη επανάληψης μια παλαιάς ενδοδοντικής θεραπείας (απονεύρωσης) καθώς και για την κατάσταση των ούλων. Με αυτή την αξιολόγηση αποφασίζουμε την διατήρηση ή όχι των δοντιών και την χρήση τους ως στηρίγματα για την αντικατάσταση των δοντιών που λείπουν.
Αξιολογούμε επίσης την ποσότητα του διαθέσιμου οστού και κρίνουμε αν είναι εφικτή ή όχι η τοποθέτηση εμφυτευμάτων στην θέση των δοντιών που λείπουν. Οι πληροφορίες που συγκεντρώνουμε καθορίζουν το σχέδιο θεραπείας.
Εξηγούμε στους ασθενείς μας το είδος της θεραπείας που προτείνουμε καθώς και τις εναλλακτικές λύσεις και συναποφασίζουμε την πορεία που θα ακολουθήσουμε. Ανάλογα με τις αποφάσεις μας, καθοδηγούμε τον οδοντοτεχνίτη ο οποίος σχεδιάζει με κερί την οριστική αποκατάσταση στα διαγνωστικά εκμαγεία που είναι γύψινα ομοιώματα του στόματος.
Ακολούθως, εφαρμόζουμε το σχέδιο θεραπείας στο στόμα με προσωρινές εργασίες που λέγονται μεταβατικές και μας δείχνουν αν το σχέδιο μας μπορεί να υλοποιηθεί με επιτυχία.
Όταν οι μεταβατικές εργασίες παραμείνουν στο στόμα για ικανό χρονικό διάστημα, εξετάζουμε αν το σχέδιο θεραπείας χρειάζεται ή όχι τροποποιήσεις και τότε μόνο προχωρούμε στην τελική αποκατάσταση.
Μια τέτοια αποκατάσταση επειδή χρειάζεται χρόνο και αρκετά χρήματα για να ολοκληρωθεί, πρέπει να έχει καλή αντοχή στον χρόνο, ώστε αν μην χρειαστεί να επαναληφθεί σύντομα. Αυτό άλλωστε είναι και το κλειδί της επιτυχίας της. Πρέπει με μια ολική στοματική αποκατάσταση, να σας βοηθήσουμε να αποκτήσετε την στοματική υγεία που χρειάζεται ώστε για αρκετά μεγάλο διάστημα να επισκέπτεστε τον οδοντίατρο σας μόνο για έλεγχο και συντήρηση του αποτελέσματος.
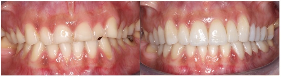
Ολική στοματική αποκατάσταση μπορεί να χρειαστείτε ακόμη και όταν έχετε όλα τα δόντια σας, τα οποία όμως παρουσιάζουν σημαντικές φθορές.
Χαρακτηριστικό είναι το παράδειγμα του περιστατικού των ακόλουθων φωτογραφιών, όπου η διάβρωση των δοντιών αντιμετωπίστηκε με μια εκτεταμένη αποκατάσταση με όψεις και επένθετα πορσελάνης.


Με τον ίδιο τρόπο και για τον ίδιο λόγο, κατασκευάσαμε μια ολική στοματική αποκατάσταση και στο περιστατικό της επόμενης φωτογραφίας που αντιμετωπίστηκε επίσης με όψεις και επένθετα πορσελάνης.

Ολική στοματική αποκατάσταση μπορεί να χρειαστείτε ακόμη και όταν έχετε τα περισσότερα από τα δόντια σας, αλλά κάποια από αυτά πρέπει να εξαχθούν, όπως στο περιστατικό της φωτογραφίας που ακολουθεί, όπου μια γέφυρα συμπληρώνει τα κενά ανάμεσα στα δόντια στηρίγματα.

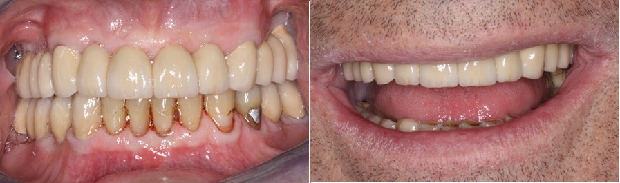
Ολική στοματική αποκατάσταση μπορεί να γίνει και σε ασθενείς που έχουν λίγα δόντια και το τελικό σχέδιο θεραπείας περιλαμβάνει αποκατάσταση τόσο σε δόντια όσο και σε εμφυτεύματα, όπως στα παραδείγματα των ασθενών στις δύο επόμενες φωτογραφίες. Εκτός από τις γέφυρες σε εμφυτεύματα, χρησιμοποιούνται και στεφάνες και γέφυρες σε φυσικά δόντια.
Μην σας παραξενεύει το μεγάλο μήκος των δοντιών. Αναπληρώνει την ποσότητα του οστού που χάθηκε επειδή χάθηκαν τα φυσικά δόντια. Τα προσθετικά δόντια σε τέτοιες περιπτώσεις πρέπει να είναι τόσο μακριά όσο χρειάζεται, ώστε το χαμόγελο και το ύψος του προσώπου των ασθενών να είναι φυσιoλογικό.


Ολική αποκατάσταση χρειάζονται και οι ασθενείς που έχουν όλα τα δόντια τους, αλλά αυτά έχουν υποστεί σοβαρές φθορές από αποτριβή.
Σε μια συντηρητική προσέγγιση όπως στο περιστατικό της επόμενης φωτογραφίας κάποια δόντια μπορεί να αποκατασταθούν ακόμη και με όψεις ρητίνης.

Καταλαβαίνουμε από τις φωτογραφίες των θεραπευμένων στο ιατρείο μας περιστατικών, πως η αποκατάσταση πολλών δοντιών μαζί δεν είναι απλή υπόθεση. Απαιτεί προσεκτικό σχεδιασμό και οργάνωση, πρόβλεψη για το μέλλον και υψηλό επίπεδο προσθετικών εργασιών.
Μόνο έτσι προστατεύουμε τα δόντια σας από τα προβλήματα και δημιουργούμε μια εργασία που θα έχει αντοχή στον χρόνο.
Αντιμετωπίζετε πολλαπλά προβλήματα στα δόντια σας που δεν σταματούν να σας απασχολούν;
Έχετε σκεφτεί να αντιμετωπίσετε τα προβλήματα συνολικά;
Γνωρίζετε πως οι προσθετολόγοι είμαστε οι εξειδικευμένοι οδοντίατροι για να σας βοηθήσουμε να αποκτήσετε την στοματική υγεία που έχετε ανάγκη;







