Το mock up είναι μια διαγνωστική τεχνική ιδιαίτερα χρήσιμη στην προσθετική και στην αισθητική οδοντιατρική.
Φανταστείτε το mock up σαν μια μορφή προσομοίωσης που όμως δεν γίνεται στην οθόνη ενός υπολογιστή αλλά στο στόμα σας, πάνω στα δόντια σας, κάτι σαν ένα ψεύτικο χαμόγελο που μπορεί να αποδώσει νέο σχήμα ή μέγεθος στα δόντια σας και χρησιμοποιείται στα αρχικά στάδια του σχεδιασμού ενός καινούργιου χαμόγελου.

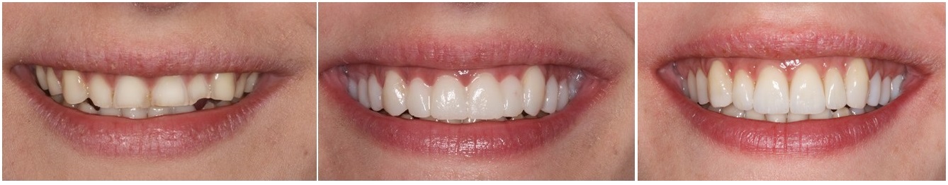
Στο περιστατικό της φωτογραφίας για παράδειγμα, βλέπετε το χαμόγελο μιας ασθενούς στο ιατρείο μου πριν και μετά το mock up. Είναι τόσο μεγάλες οι αλλαγές που πρέπει να γίνουν ώστε η ασθενής μας να αποκτήσει ένα σωστό χαμόγελο, που πρέπει πρώτα να βεβαιωθούμε πως το αποτέλεσμα δεν θα την ξαφνιάσει.
Στην δεύτερη εικόνα βλέπετε μια πιο απομακρυσμένη εικόνα του χαμόγελου που είναι πιο εκφραστική και δείχνει από την πρώτη στιγμή πόσο πιο άνετο είναι το χαμόγελο της μετά την παρέμβαση μας. Ακόμη και αν η ασθενής δεν έλεγε τίποτε, είναι πολύ εύκολο να καταλάβει κανείς πως νιώθει πολύ πιο άνετα με το χαμόγελο που προτείνουμε.
Σκοπός της ενδοστοματικής προσομοίωσης λοιπόν, είναι να αποδώσει τις επιθυμητές αλλαγές στα δόντια και στο χαμόγελο πριν προχωρήσουμε στο οριστικό σχέδιο θεραπείας. Είναι πολύ χρήσιμη τεχνική, τόσο για τον ασθενή όσο και για τον οδοντίατρο γιατί:
- Προϊδεάζει για το τελικό αποτέλεσμα
- Αποδίδει ένα προσωρινό αποτέλεσμα που επιδέχεται αλλαγές
- Μπορεί να επαναληφθεί όσες φορές χρειάζεται προκειμένου να επιλέξουμε την λύση που μας αρέσει περισσότερο
- Δίνει στον ασθενή μια εκτίμηση για την δουλειά του οδοντιάτρου και του οδοντοτεχνικού εργαστηρίου
- Επιτρέπει στο οδοντίατρο να εκτιμήσει τις αισθητικές απαιτήσεις του ασθενούς και να αποφασίσει ανάλογα για το σχέδιο θεραπείας που θα προτείνει
Δείτε στο βίντεο που ακολουθεί πληροφορίες για την τεχνική:
Η διαδικασία ξεκινά με την εξέταση του ασθενούς και την συζήτηση γύρω από τα προβλήματα που εντοπίζει στο χαμόγελο του.
Προχωρούμε με το αποτύπωμα των δοντιών και την κατασκευή του εκμαγείου. Με την βοήθεια των φωτογραφιών και των συμπερασμάτων της συζήτησης με την ασθενή, ενημερώνουμε τον οδοντοτεχνίτη για τις αλλαγές που επιθυμούμε στα δόντια.
Οι αλλαγές υλοποιούνται με την προσθήκη κεριού στο γύψινο εκμαγείο και ολοκληρώνονται σε διάστημα 1-2 ημερών. Ακολουθεί ένα καινούργιο ραντεβού στο οποίο γιατρός και ασθενής συζητούν για το αποτέλεσμα που προέκυψε και αποφασίζουν αν χρειάζεται επιπλέον αλλαγές.
Αντιγράφουμε με σιλικόνη το διαγνωστικό κέρωμα και τοποθετούμε μέσα στο κλειδί που προκύπτει, ένα ρητινώδες υλικό το οποίο τοποθετείται στα δόντια και πολυμερίζεται σε λίγα λεπτά. Όταν αφαιρέσουμε το κλειδί από το στόμα, το αποτέλεσμα είναι άμεσα ορατό.
Συνήθως οι αλλαγές που προκύπτουν είναι σημαντικές και οι ασθενείς μας χρειάζονται χρόνο για να τις κατανοήσουν και για να αποφασίσουν αν τους αρέσουν ή όχι. Χρησιμοποιούμε το διάστημα αυτό για να φωτογραφήσουμε δόντια και χαμόγελο και παραδίδουμε το υλικό που συγκεντρώσαμε στην ασθενή μας, για να το αξιολογήσει αργότερα με ηρεμία ή ακόμη και για να στο συζητήσει με τους οικείους του.
Μερικές φορές όταν το mock up έχει το κατάλληλο πάχος- ο γιατρός μόνο μπορεί να το κρίνει- μπορούμε να το δώσουμε και στο σπίτι για να αξιολογηθεί με ηρεμία.
Το mock up δεν είναι εφικτό να εφαρμοστεί σε όλες τις περιπτώσεις.
Όταν υπάρχουν δόντια που για να εναρμονιστούν με το τελικό αποτέλεσμα χρειάζονται τρόχισμα, τότε δεν μπορούμε να εφαρμόσουμε την τεχνική.
Σε αυτή την περίπτωση μπορούμε να αξιολογήσουμε το τελικό αποτέλεσμα της θεραπείας στο στάδιο των προσωρινών εργασιών πριν την κατασκευή των τελικών εργασιών. Η βασική διαφορά είναι πως θα πρέπει οδοντίατρος και ασθενής να έχουν δεσμευτεί στην θεραπεία, για να προχωρήσουν στο τρόχισμα των δοντιών.
Υπάρχει περίπτωση να μην μείνετε ευχαριστημένοι με την πρόταση του γιατρού σας. Όταν όμως με την βοήθεια του mock up μπορέσoυμε να εντοπίσετε τι είναι αυτό που σας ενοχλεί, τότε εύκολα μπορούν να γίνουν οι αλλαγές που επιθυμείτε και η διαδικασία να επαναληφθεί ξανά μέχρι να επιτύχουμε το επιθυμητό αποτέλεσμα.
Στην περίπτωση που καμιά αλλαγή δεν καταφέρει να αποδώσει το αποτέλεσμα που σας ευχαριστεί τότε μπορείτε πάντα να αναζητήσετε άλλες λύσεις, όπως πχ την ορθοδοντική ή ακόμη και να αποφασίσετε πως το χαμόγελο με το οποίο σας προίκισε η φύση είναι ικανοποιητικό από μόνο του.
Όπως και να έχει μόνο κέρδος μπορεί να έχετε από την διαδικασία. Καλό είναι να έχετε ενημερωθεί από τον οδοντίατρο σας για το κόστος στην περίπτωση που δεν προχωρήσετε σε θεραπεία.
Συνήθως όταν το αποτέλεσμα της ενδοστοματικής προσομοίωσης σας αρέσει και αποφασίσετε να προχωρήσετε στην θεραπεία, το κόστος περιλαμβάνεται στο συνολικό κόστος της θεραπείας μιας και είναι πολύ χρήσιμο για τα κλινικά και εργαστηριακά στάδια που θα ακολουθήσουν.
Όταν τα συμπεράσματα από το mock-up εφαρμοστούν στην πράξη, ολοκληρώνουμε μια προσθετική εργασία χωρίς εκπλήξεις όπως στο περιστατικό της φωτογραφίας που ακολουθεί, στο οποίο βλέπουμε την αρχική κατάσταση των δοντιών, το mock-up και την τελική προσθετική εργασία.

Πώς σας φαίνεται η διαγνωστική αυτή μέθοδος; Έχει τύχει να την συζητήσετε με τον οδοντίατρο σας;
Δόμνα Ευαγγελίδου, Προσθετολόγος







