Αν έχετε χάσει ένα δόντι και επιθυμείτε να το αντικαταστήσετε, μπορεί να έρθετε αντιμέτωποι με το δίλημμα "γέφυρα ή εμφύτευμα".
Οι γέφυρες έχουν χρησιμοποιηθεί για πάρα πολλά χρόνια με επιτυχία, αλλά και τα εμφυτεύματα έχουν πια τεράστια ποσοστά επιτυχίας, ενώ η χρήση τους άλλαξε την Οδοντιατρική ριζικά.
Αν υποθέσουμε πως μπορείτε να αποκαταστήσετε το δόντι που χάσατε και με τους δύο τρόπους, τότε καλό είναι να γνωρίζετε τα πλεονεκτήματα και τα μειονεκτήματα των δύο λύσεων.
Γέφυρα

Πλεονεκτήματα
- Ολοκληρώνεται γρήγορα
- Κοστίζει λιγότερο από το εμφύτευμα
- Δεν απαιτεί χειρουργική διαδικασία
Μειονεκτήματα
- Απαιτεί τον εκτροχισμό των γειτονικών δοντιών
- Έχει μικρότερη διάρκεια ζωής από το εμφύτευμα
- Όταν μια γέφυρα αποτύχει, αυτό συνήθως σημαίνει και την απώλεια ενός δοντιού στηρίγματος
- Απαιτεί προσεκτική στοματική υγιεινή για να διατηρηθεί καθαρή
Εμφύτευμα

Πλεονεκτήματα
- Αντιμετωπίζει το πρόβλημα εντοπισμένα, χωρίς να επηρεάζει τα γειτονικά δόντια.
- Διατηρεί το οστό στην περιοχή.
- Έχει μεγάλη διάρκεια ζωής
- Επιτρέπει την καθαριότητα της περιοχής με οδοντικό νήμα, όπως τα φυσικά δόντια
Μειονεκτήματα
- Απαιτεί χειρουργική διαδικασία
- Η ολοκλήρωση της θεραπείας μπορεί να διαρκέσει 3-6 μήνες
- Κοστίζει συνήθως περισσότερο από την γέφυρα
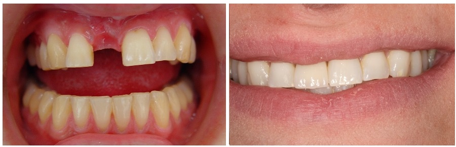
Στην φωτογραφία που ακολουθεί βλέπετε την περίπτωση μιας ασθενούς η οποία θεραπεύτηκε στο ιατρείο μας. Το πρόσθιο δόντι που χάθηκε αποκαταστάθηκε με μια γέφυρα.
ενώ στην επόμενη φωτογραφία, βλέπουμε ένα παρόμοιο περιστατικό που αντιμετωπίστηκε με ένα οδοντικό εμφύτευμα.
Μπορούμε να επιτύχουμε εξαιρετικής αισθητικής αποτέλεσμα και με τις δύο λύσεις.
Η βασική διαφορά ανάμεσα στις δύο λύσεις είναι πως η θεραπεία με εμφυτεύματα δεν επηρεάζει τα γειτονικά δόντια.
Στο βάθος του χρόνου, αν χάσετε το δόντι στήριγμα της γέφυρας θα το αντικαταστήσετε πληρώνοντας περισσότερα χρήματα από αυτά που θα ξοδεύατε αρχικά για ένα εμφύτευμα.
Δείτε επίσης το βίντεο του ιατρείου που ακολουθεί , όπου αναλύεται διεξοδικά το δίλλημα της καταλληλότερης προσθετικής αποκατάστασης.
Στο τέλος ο καθένας αποφασίζει ανάλογα με το τι κρίνει σημαντικό, αλλά αν ρωτάτε εμένα θα σας απαντούσα πως προτιμώ το εμφύτευμα αν χάσω ένα δόντι μου.
Βεβαιωθείτε μόνο πως ο γιατρός που θα σας φροντίσει, γνωρίζει καλά την θεραπευτική αυτή λύση ώστε να έχετε το καλύτερο δυνατό θεραπευτικό αποτέλεσμα.








