Τι είναι η εσωτερική λεύκανση;



δυσχρωμικό ενδοδοντικά θεραπευμένο δόντιΜήπως όταν χαμογελάτε στον καθρέφτη κάποιο από τα μπροστινά σας δόντια είναι πιο σκούρο από τα υπόλοιπα;

Έχετε αναρωτηθεί που οφείλεται αυτό και πως μπορεί να αντιμετωπιστεί;

Αν και υπάρχουν πολλοί λόγοι για τους οποίους τα δόντια μπορεί να είναι μαύρα, πολλές φορές όταν η δυσχρωμία ενός δοντιού είναι εντοπισμένη μόνο σε αυτό, τότε προέρχεται από το εσωτερικό του δοντιού και οφείλεται σε προβλήματα του πολφού του.

Η δυσχρωμία είναι αποτέλεσμα τραύματος του δοντιού ή ενδοδοντικής θεραπείας (απονεύρωσης) και προκαλείται από την αποδόμηση των προϊόντων του αίματος μέσα στον πολφικό θάλαμο.

Η αδαμαντίνη επηρεάζεται από τα προϊόντα αποδόμησης του αίματος αλλάζει χρώμα και γίνεται καφέ, πορτοκαλί ή σκούρα γκρι. 

Η δυσχρωμία ενός απονευρωμένου ή νεκρού δοντιού αποτελεί ένα αισθητικό πρόβλημα που μπορεί να αντιμετωπιστεί εύκολα με την τεχνική της εσωτερικής λεύκανσης του δοντιού.

Βλέπετε στην φωτογραφία από περιστατικό του ιατρείου μας, το αποτέλεσμα της εσωτερικής λεύκανσης στον κεντρικό τομέα της άνω γνάθου.εσωτερική λεύκανση απονευρωμένου δοντιού

Η εσωτερική λεύκανση είναι οικονομική θεραπεία και δεν επηρεάζει το σχήμα του δοντιού, ούτε την θέση του στο οδοντικό τόξο. Με άλλα λόγια πρόκειται για μια θεραπευτική λύση που διορθώνει μόνο το χρώμα του δοντιού. 

Πριν την εσωτερική λεύκανση, πρέπει να διαπιστωθεί αν το δόντι έχει ενδοδοντική θεραπεία ή όχι καθώς και ποια είναι η ποιότητα της. Ο έλεγχος γίνεται εύκολα με την βοήθεια μιας οπισθοφατνιακής ακτινογραφίας.  

Μερικές φορές ένα δόντι έχει νεκρωθεί μετά από τραυματισμό και έχει αλλάξει χρώμα χωρίς να έχει γίνει ποτέ ενδοδοντική θεραπεία. Σε αυτή την περίπτωση πριν την λεύκανση του δοντιού, πρέπει να προηγηθεί η ενδοδοντική του θεραπεία.

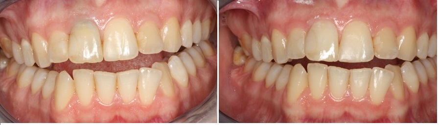
Αν το δόντι είναι απονευρωμένο και η ενδοδοντική του θεραπεία είναι ικανοποιητική τότε μπορούμε να προχωρήσουμε στην αντιμετώπιση του αισθητικού προβλήματος με εσωτερική λεύκανση άμεσα, όπως στον κεντρικό τομέα της ασθενούς μας άνω αριστερά στις φωτογραφίες που ακολουθούν.

Στην πρώτη φωτογραφία βλέπουμε την ενδοστοματική εικόνα των δοντιών και στην δεύτερη το χαμόγελο της ασθενούς και την αλλαγή που γίνεται στον τρόπο που χαμογελά η ασθενής, όταν ένιωσε μεγαλύτερη άνεση με το δυσχρωμικό δόντι.

εσωτερική λεύκανση δοντιού-πριν και μετά

εσωτερική λεύκανση δοντιού-πριν και μετάΞεκινάμε αφαιρώντας όλο το σφράγισμα πάνω από την απονεύρωση και απομονώνουμε την ενδοδοντική θεραπεία βάζοντας στην κορυφή της ένα προστατευτικό υλικό. Στην συνέχεια τοποθετούμε μέσα στον χώρο που έχει δημιουργηθεί στο δόντι, την λευκαντική ουσία.

Υπάρχουν πολλά είδη λευκαντικών ουσιών και ο οδοντίατρος επιλέγει ανάλογα με την προτίμηση του. Η λευκαντική ουσία μπορεί να ενεργοποιηθεί με την βοήθεια φωτός ή θερμότητας ενώ υπάρχουν και λευκαντικές ουσίες που δρουν με την παραμονή τους στο στόμα για μερικές μέρες. Έτσι κάποιες φορές το αποτέλεσμα της λεύκανσης είναι άμεσο ενώ σε άλλες περιπτώσεις μπορεί να χρειαστεί αλλαγή της λευκαντικής ουσίας και επανάληψη της διαδικασίας σε μερικές μέρες.

Αν η ποιότητα της ενδοδοντικής θεραπείας είναι κακή τότε η εσωτερική λεύκανση καλό είναι να αποφεύγεται. Το ίδιο ισχύει και για τις περιπτώσεις που στο δόντι υπάρχει μικρή ποσότητα υγιούς οδοντικής ουσίας ή πολύ μεγάλα σφραγίσματα.

Η δυσχρωμία του δοντιού μπορεί να επανέλθει μετά από κάποια χρόνια, αλλά τα επιστημονικά δεδομένα δεν συμφωνούν για την πιθανότητα ενώ τα ποσοστά υποτροπής ποικίλλουν μεταξύ 4%-70% των περιπτώσεων.

Συνήθως οι οδοντίατροι παρακολουθούμε τα δόντια αυτά και αν παρατηρήσουμε υποτροπή του χρώματος που αρχίζει να ενοχλεί τον ασθενή μας επαναλαμβάνουμε την θεραπεία ή προχωρούμε σε κάποια πιο μόνιμη θεραπεία όπως οι όψεις πορσελάνης ή οι στεφάνες.

Όπως και κάθε άλλη θεραπεία η εσωτερική λεύκανση μπορεί να έχει κάποιες επιπλοκές.

Η συχνότερη επιπλοκή είναι το χημικό έγκαυμα των ούλων γύρω από το δόντι, που προκαλείται από την λευκαντική ουσία και υποχωρεί πολύ εύκολα.

Η σοβαρότερη επιπλοκή είναι η εξωτερική απορρόφηση της ρίζας του δοντιού φαινόμενο που έχει παρατηρηθεί σε κάποια δόντια που έχουν λευκανθεί εσωτερικά χωρίς όμως να έχει εξακριβωθεί αν η εξωτερική απορρόφηση είναι αποτέλεσμα της εσωτερικής λεύκανσης ή του τραύματος του δοντιού που είχε προηγηθεί και είχε προκαλέσει την νέκρωση του δοντιού εξ αρχής.

Μάθετε στο βίντεο που ακολουθεί πολλές ακόμη πληροφορίες για την εσωτερική λεύκανση των ενδοδοντικά θεραπευμένων δοντιών καθώς και για τις εναλλακτικές τους λύσεις:

"

Εσείς έχετε κάποιο μαυρισμένο μπροστινό δόντι; Έχετε κάνει εσωτερική λεύκανση; Ποια ήταν η εμπειρία σας;