Η συγγενής έλλειψη δοντιών συμβαίνει στο 2-10% του πληθυσμού και αφορά κυρίως στους προγομφίους και στους πλάγιους τομείς της άνω γνάθου.
Πρόκειται για δόντια που δεν "δημιουργούνται" από το ανθρώπινο σώμα. Όταν τα δόντια λείπουν συγγενώς, δεν ανατέλλουν στην θέση τους και το κενό που μένει δημιουργεί λειτουργικό και αισθητικό πρόβλημα.
Οι πλάγιοι τομείς είναι τα δόντια με το μεγαλύτερο ενδιαφέρον. Βρίσκονται δίπλα στα δύο κεντρικά δόντια της άνω γνάθου και η έλλειψη τους δημιουργεί κυρίως αισθητικό πρόβλημα. Η έλλειψη μπορεί να αφορά στον πλάγιο τομέα της μιας μόνο πλευράς, αλλά συνηθέστερα αφορά και στις δυο πλευρές.
Η έλλειψη των μόνιμων δοντιών γίνεται αντιληπτή στα παιδιά με μικτή οδοντοφυΐα, δηλ. στα παιδιά που έχουν αρχίσει να χάνουν τα νεογιλά δόντια και βγάζουν τα μόνιμα. Επιβεβαιώνεται με μια πανοραμική ακτινογραφία, η οποία δείχνει αν το μόνιμο δόντι βρίσκεται παγιδευμένο στο οστό ή αν απλά δεν υπάρχει.
Πολλές φορές η οικογένεια απευθύνεται σ' ένα ορθοδοντικό ο οποίος αναλαμβάνει την μετακίνηση των γειτονικών δοντιών στις σωστές θέσεις.
Οι εναλλακτικές λύσεις που υπάρχουν για την αντιμετώπιση της συγγενούς έλλειψης των πλάγιων τομέων είναι:
1. Κλείσιμο του κενού με μεταφορά των κυνοδόντων στην θέση των πλάγιων τομέων ή
2. Δημιουργία χώρου για συμπλήρωση των ελλειπόντων δοντιών με εμφυτεύματα ή γέφυρα Maryland.
Αν αποφασίσουμε να μετακινήσουμε τον κυνόδοντα στην θέση του πλάγιου τομέα, τα κενά δεν φαίνονται έντονα μπορεί και να κλείσουν εντελώς, αλλά επειδή ο κυνόδοντας έχει διαφορετική μορφολογία από τον πλάγιο τομέα, είναι δηλ. δόντι με πολύ διαφορετικό σχήμα καθώς τα παιδιά ενηλικιώνονται αναζητούν κάποια λύση για να βελτιώσουν την αισθητική εικόνα του χαμόγελου.
Χαρακτηριστική είναι η περίπτωση της παρακάτω φωτογραφίας. Οι μόνιμοι κυνόδοντες βρίσκονται στην θέση των πλάγιων τομέων και αφήνουν κενά με τους κεντρικούς τομείς λόγω της έλλειψης των μόνιμων πλαγίων τομέων.
Στην ασθενή κατασκευάσαμε όψεις πορσελάνης που σκοπό έχουν να κλείσουν τους κενούς χώρους και να αποδώσουν στους μόνιμους κυνόδοντες την μορφολογία των μόνιμων πλάγιων τομέων.

Όταν αποφασίσουμε να δημιουργήσουμε τον χώρο για την αναπλήρωση του δοντιού και μετακινήσουμε τους κυνόδοντες στην σωστή τους θέση στο τόξο, τότε αποσκοπούμε στην αποκατάσταση των ελλειπόντων δοντιών με ένα οδοντικό εμφύτευμα ή μια γέφυρα Maryland.
Οι εργασίες αυτές μπορούν να γίνουν μόνο μετά την ενηλικίωση του παιδιού, πράγμα που μας αναγκάζει να γίνουμε ευρηματικοί για το ενδιάμεσο διάστημα μιας και τα παιδιά ενοχλούνται από την έλλειψη των δοντιών.
Η πιο άμεση αντιμετώπιση περιλαμβάνει την κατασκευή μιας κινητής ορθοδοντικής συσκευής, η οποία έχει ένα σύρμα πάνω στο οποίο κολλιέται ένα ακρυλικό δόντι και καλύπτει το αισθητικό πρόβλημα. Άλλες φορές το δόντι αυτό κολλιέται και στους ακίνητους ορθοδοντικούς μηχανισμούς που φορά το παιδί στην διάρκεια της ορθοδοντικής του θεραπείας.
Στις περιπτώσεις αυτές πρέπει να γίνει άριστος συντονισμός ανάμεσα στον ορθοδοντικό και στον προσθετολόγο, ώστε ο χώρος που θα δημιουργηθεί με τα σιδεράκια να είναι ο κατάλληλος για να συμπληρωθεί αργότερα με δόντι σωστού μεγέθους.
Έτσι εξετάζουμε τα παιδιά κλινικά και ακτινογραφικά κατά την διάρκεια της ορθοδοντικής τους θεραπείας και ελέγχουμε το πλάτος των χώρων που έχουν δημιουργηθεί καθώς και την κλίση των ριζών των γειτονικών δοντιών.
Στο ακτινογραφικό παράδειγμα της φωτογραφίας, βλέπουμε μια περίπτωση όπου ενώ στο στόμα οι απαραίτητοι χώροι είχαν δημιουργηθεί, στην ακτινογραφία φάνηκε πως οι ρίζες των κεντρικών τομέων θα εμπόδιζαν την τοποθέτηση των εμφυτευμάτων
Ανάλογα με τα ευρήματα καθοδηγούμε τον ορθοδοντικό για την ανάγκη μετακίνησης των δοντιών ή όχι.
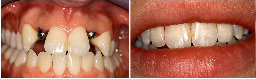
'Οταν τέλος αντιμετωπίζουμε το πρόβλημα της συγγενούς έλλειψης των πλαγίων τομέων μετά την ενηλικίωση, τότε μπορούμε να τοποθετήσουμε εμφυτεύματα ή μια γέφυρα Maryland.
Η ιδανικότερη λύση είναι η τοποθέτηση δύο εμφυτευμάτων στους κενούς χώρους και η κατασκευή στεφανών όπως στο περιστατικό της φωτογραφίας.
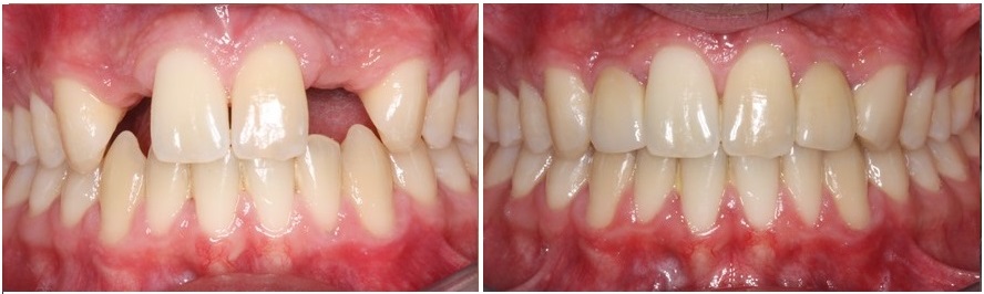
Όταν όμως δεν μπορούμε να τοποθετήσουμε δύο εμφυτεύματα, είτε γιατί δεν υπάρχει οστό ή η οικονομική δυνατότητα, μπορούμε να κατασκευάσουμε μια γέφυρα Maryland, δηλ. μια γέφυρα η οποία συγκολλιέται στην πίσω πλευρά των γειτονικών δοντιών χωρίς να προϋποθέτει τον τροχισμό των δοντιών αυτών, όπως στο παράδειγμα της παρακάτω φωτογραφίας.

Η συγγενής έλλειψη των πλάγιων τομέων, αντιμετωπίζεται με επιτυχία από την παιδική ηλικία.
Ακόμη όμως και αν δεν έχει μεσολαβήσει ορθοδοντική θεραπεία, μπορούμε προσθετικά να αντιμετωπίσουμε τα προβλήματα της έλλειψης αυτών των δοντιών δημιουργώντας χαμόγελα με αυτοπεποίθηση.
Ενημερωθείτε επίσης στο βίντεο που ακολουθεί για όλες τις λύσεις:
Αντιμετωπίζετε πρόβλημα συγγενούς έλλειψης δοντιών και χρειάζεστε κάποια συμβουλή;
Γράψτε μου και θα χαρώ πολύ να σας απαντήσω.
Ας μην αφήνουμε τις μέρες μας να περνούν χωρίς πλατιά χαμόγελα...
Δόμνα Ευαγγελίδου, Προσθετολόγος







