Όταν σπάσει το δόντι σας πρέπει να απευθυνθείτε στον οδοντίατρο άμεσα, ακόμη κι αν το δόντι δεν πονά.
Ο οδοντίατρος με την σειρά του θα ελέγξει αν το δόντι είναι ζωντανό και θα αποφασίσει για την θεραπεία που θα ακολουθήσει.
Αιτίες
1. Ατύχημα
Αν βρείτε το σπασμένο κομμάτι δοντιού διατηρήστε το σε νερό ή φυσιολογικό ορό και πάρτε το μαζί σας στον οδοντίατρο.
Όταν το ατύχημα αφορά σε μικρό παιδί, πρέπει να δράσετε άμεσα και να απευθυνθείτε σε οδοντίατρο το συντομότερο.
Στο μεταξύ ενημερωθείτε από την Ελληνική Παιδοδοντική Εταιρία για τις πρώτες βοήθειες που μπορείτε να προσφέρετε.
2. Τερηδόνα
Μερικές φορές ένα δόντι σπάει όταν στο εσωτερικό του υπάρχει τερηδόνα που κατέστρεψε ένα τμήμα του, οπότε κάποια στιγμή τα ανυποστήριχτα εξωτερικά τοιχώματα υποχωρούν και αποκαλύπτεται η βλάβη.
Στις περισσότερες περιπτώσεις το δόντι μετά πονάει ελαφρώς, κρυώνει και χρειάζεται άμεση οδοντιατρική φροντίδα για να καθαριστεί η τερηδόνα αλλά και για να ολοκληρωθεί η ανασύσταση του.
3. Ενδοδοντική θεραπεία
Η ενδοδοντική θεραπεία από μόνη της δεν προκαλεί σπάσιμο των δοντιών, αλλά τα απονευρωμένα δόντια σπάζουν πιο εύκολα γιατί δεν τρέφονται και με το πέρασμα του χρόνου αφυδατώνονται.
Επίσης τα απονευρωμένα δόντια, έχουν οδηγηθεί στην απονεύρωση γιατί συνήθως έχουν χάσει μεγάλη ποσότητα οδοντικής ουσίας, οπότε είναι ευκολότερο να σπάσουν κατα την χρήση.
4. Βρυγμός
Ένα δόντι μπορεί να σπάσει, όταν στο στόμα ασκούνται πάρα πολύ υψηλές δυνάμεις, φαινόμενο που παρατηρείται κυρίως στους ανθρώπους που σφίγγουν ή τρίζουν τα δόντια τους.
Τέτοια φαινόμενα μπορεί να εκλείψουν αν οι ασθενείς που τρίζουν τα δόντια χρησιμοποιούν ένα νάρθηκα σύγκλεισης ο οποίος προστατεύει τα δόντια από την άσκηση υπερβολικών δυνάμεων.
5. Παλαιά προσθετική εργασία
Κατάγματα μπορεί να συμβούν και σε γέφυρες και στεφάνες ή σε όψεις πορσελάνης, συνήθως μετά από αρκετά μεγάλο διάστημα χρήσης.
Θεραπεία
Κάθε δόντι που σπάει είναι μοναδικό και μοναδική είναι και η αντιμετώπιση του.
Κάποιες φορές με ένα καινούργιο σφράγισμα, ένα επένθετο ή ακόμη και με μια στεφάνη μπορούμε να δώσουμε στο δόντι το σωστό σχήμα και να το κρατήσουμε στο στόμα για πολλά χρόνια ακόμη.
Σε άλλες περιπτώσεις η ποσότητα της οδοντικής ουσίας που απέμεινε μετά το κάταγμα είναι πολύ μικρή και το δόντι χρειάζεται ανασύσταση πριν από την αποκατάσταση του με στεφάνη.
Όταν το κάταγμα του δοντιού είναι πολύ μεγάλο ή επεκτείνεται κάτω από τα ούλα πρέπει να αξιολογήσουμε την ποσότητα της οδοντικής ουσίας που μένει και να αποφασίσουμε αν το δόντι μπορεί να διατηρηθεί στο στόμα ή όχι. Μερικές φορές χρειάζεται μετακίνηση της θέσης των ούλων για να διατηρηθεί το σπασμένο δόντι στο στόμα.
Κάποιες φορές όμως, το κάταγμα ενός δοντιού μπορεί να είναι τόσο σοβαρό ώστε να χρειαστεί εξαγωγή του και τοποθέτηση ενός εμφυτεύματος ή μιας γέφυρας που θα στηρίζεται στα διπλανά του δόντια.
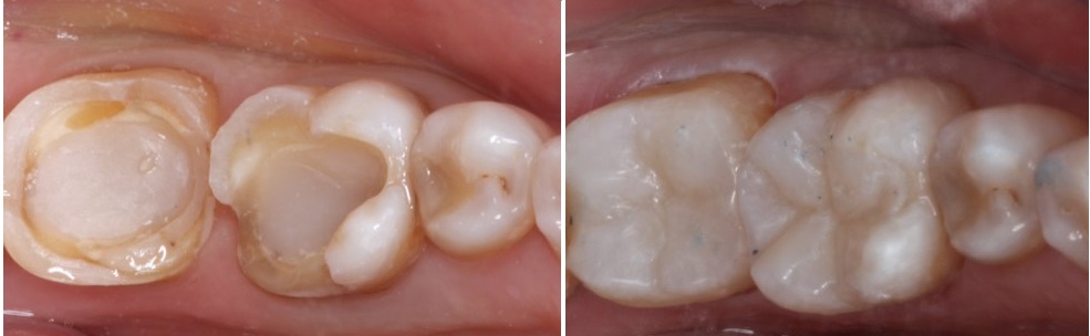
Δείτε στις φωτογραφίες που ακολουθούν την περίπτωση απονευρωμένων δοντιών με κατάγματα που αποκαταστάθηκαν με επένθετα ρητίνης, πριν και μετά την αποκατάσταση τους.

Στην περίπτωση ασθενούς μας με βρυγμό, τα σπασμένα τμήματα δοντιών, αποκαταστάθηκαν με όψεις ρητίνης ενώ επιπλέον κατασκευάσαμε ένα νάρθηκα σύγκλεισης για να περιοριστούν μελλοντικά κατάγματα των δοντιών και των αποκαταστάσεων.

Σε άλλο περιστατικό, τα δύο μπροστινά δόντια που είχαν σπάσει κατά την παδική ηλικία του ασθενούς μας, αποκαταστάθηκαν με δύο ολοκεραμικές στεφάνες.

Όταν τα δόντια με κατάγματα χρειάζονται στεφάνες, πρέπει να έχει απομείνει κάποια ποσότητα υγιούς οδοντικής ουσίας πάνω από τα ούλα, ώστε να στηριχτεί πάνω της μια στεφάνη. Διαφορετικά η ανασύσταση του δοντιού κινδυνεύει να αποκολληθεί μαζί με την προσθετική εργασία και η στεφάνη θα ξεκολλάει συχνά.
Έτσι στο παράδειγμα που ακολουθεί, χρησιμοποιήσαμε τις ρίζες των δύο κεντρικών τομέων για να συγκολλήσουμε 2 ολοκεραμικούς άξονες και στην συνέχεια 2 ολοκεραμικές στεφάνες.
Μπορέσαμε να χρησιμοποιήσουμε πολύ κατεστραμμένα δόντια με την βοήθεια ενδοριζικών αξόνων, σαν στηρίγματα για τις ολοκεραμικές στεφάνες.

Αν σπάσει το δόντι σας, απευθυνθείτε στον οδοντίατρο σας το συντομότερο δυνατό. Υπάρχουν πολλές αξιόλογες λύσεις για να αντιμετωπιστεί το πρόβλημα, είμαι σίγουρη πως κάποια θα είναι κατάλληλη για εσάς.
Αν έχετε απορίες μην διστάσετε να γράψετε στα σχόλια ή να επικοινωνήσετε μαζί μας.
Δόμνα Ευαγγελίδου, Προσθετολόγος







