Ποιος θέλει ένα όμορφο χαμόγελο; Ποιος δεν θέλει θα μου πείτε, αλλά έχει χάρη που είναι ακριβό.
Είναι αλήθεια πως σε μερικούς ανθρώπους το ωραίο χαμόγελο με ίσια και λευκά δόντια δόθηκε από την φύση, σε άλλους όμως χρειάζεται προσπάθεια για να επιτευχθεί.
Μιας και οι αισθητικές παρεμβάσεις κάθε είδους είναι ακριβές, πολλοί άνθρωποι πιστεύουν πως η βελτίωση στο χαμόγελο μας είναι πολύ απαιτητική οικονομικά.
Κακώς κατά την γνώμη μου, και επιτρέψτε μου να εξηγήσω το γιατί.
1. Ωραίο χαμόγελο είναι πρώτα από όλα το υγιές χαμόγελο.
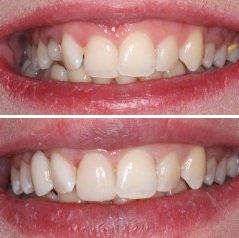
Αν τα δόντια και τα ούλα δεν είναι καθαρά, το χαμόγελο δεν μπορεί να δείχνει ωραίο.
Κάντε το πρώτο βήμα καθαρίζοντας τα δόντια σας σχολαστικά στο σπίτι με την οδοντόβουρτσα και την οδοντόκρεμα σας.
Επισκεφτείτε τον οδοντίατρο σας μια έως 2 φορές τον χρόνο για ένα πλήρη καθαρισμό και για οδηγίες στοματικής υγιεινής και θα νιώσετε αυτοπεποίθηση και σιγουριά για τα δόντια και το χαμόγελο σας.
Ακόμη και αν θέλετε να προχωρήσετε σε επιπλέον εργασίες Αισθητικής Οδοντιατρικής, αν δεν έχετε υγιή δόντια και ούλα, οι εργασίες δεν μπορούν να ολοκληρωθούν και αν προχωρήσουν δυστυχώς δεν θα έχουν καλό αποτέλεσμα.

Αντιμετώπιση κενών στα δόντια με όψεις πορσελάνης

Λεύκανση δοντιών με νάρθηκες στο σπίτι

Μόνιμα λευκά δόντια με όψεις πορσελάνης

Κλείσιμο κενού στα δόντια με όψεις ρητίνης

Αποκατάσταση μεγέθους δοντιών με σύνθετη ρητίνη

Βελτίωση σχήματος δοντιών με όψεις ρητίνης

Κλείσιμο πολλαπλών διαστημάτων με όψεις πορσελάνης

Αντικατάσταση παλαιών στεφανών

Διόρθωση σχήματος νεογιλού κυνόδοντα με σύνθετη ρητίνη

Βελτίωση αισθητικής δοντιών με λεύκανση και σύνθετη ρητίνη
2. Μπορείτε να αναβαθμίσετε το χαμόγελο σας με μια λεύκανση δοντιών.
Η λεύκανση είναι απλή και ασφαλής διαδικασία όταν γίνεται από οδοντίατρο. Αν μάλιστα επιλέξετε την λεύκανση με νάρθηκες στο σπίτι, μπορείτε να αποκτήσετε λευκότερο χαμόγελο με 250-300 Ευρώ.
Μπορείτε μάλιστα να χρησιμοποιείτε τους νάρθηκες αυτούς για να λευκαίνετε τα δόντια σας μια φορά τον χρόνο, ώστε να διατηρείτε το αποτέλεσμα χωρίς να ξοδεύετε πολλά χρήματα, όπως θα γινόταν αν επιλέγατε την λεύκανση στο ιατρείο.
3. Αν έχετε λευκά σφραγίσματα στα μπροστινά σας δόντια που με το πέρασμα του χρόνου άλλαξαν χρώμα, σκεφτείτε την αντικατάσταση τους.
Πολλά από αυτά τα σφραγίσματα μοιάζουν με μικρούς κίτρινους λεκέδες ανάμεσα στα δόντια σας και ακόμη και να καθαρίζετε τα δόντια σας καλά, δεν επιτρέπουν στο χαμόγελο σας να είναι φωτεινό.
Προσπαθήστε να χρησιμοποιείτε τακτικά οδοντικό νήμα ανάμεσα στα δόντια σας για να εμποδίζετε την απορρόφηση των χρωστικών από την σύνθετη ρητίνη των σφραγισμάτων, ώστε να αυξήσετε την διάρκεια ζωής τους.
Η αντικατάσταση ενός λευκού σφραγίσματος κοστίζει 50-80 Ευρώ. Αν έχετε περισσότερα του ενός μπορείτε να τα αντικαταστήσετε σταδιακά, ώστε να επιβαρύνεστε λιγότερο.
4. Σκεφτείτε την αντικατάσταση των παλαιών μαύρων σφραγισμάτων με λευκά.
Η αντικατάσταση των σφραγισμάτων στα πίσω δόντια μπορεί να σας απαλλάξει από γκρίζες κηλίδες που φαίνονται πολλές φορές όταν χαμογελάτε πλατιά, ενώ το κόστος της αντικατάστασης είναι περίπου 50-100 Ευρώ.
Ακόμη και αν έχετε μεγάλα μαύρα σφραγίσματα που διστάζετε να αλλάξετε φοβούμενοι την αντοχή του νέου σφραγίσματος, καλό είναι να γνωρίζετε πως τώρα πια με τα επένθετα σύνθετης ρητίνης ή πορσελάνης μπορείτε να αποκτήσετε λευκά πίσω δόντια που συνδυάζουν αισθητική και αντοχή στον χρόνο.
5. Αλλάξτε μια θήκη που δεν ταιριάζει στο χρώμα με τα υπόλοιπα δόντια σας.
Τα δόντια μας αλλάζουν χρώμα με το πέρασμα του χρόνου, κάνοντας τις παλιές στεφάνες να δείχνουν ξένες στο στόμα έτσι όπως αυτό διαμορφώθηκε με το πέρασμα του χρόνου.
Μπορείτε να αντικαταστήσετε μια παλιά στεφάνη που σας κάνει να νιώθετε άβολα όταν χαμογελάτε, με κόστος που κυμαίνεται από 200-500 Ευρώ ανάλογα με τον οδοντίατρο και τα υλικά που θα χρησιμοποιήσετε.
6. Διορθώστε τα δόντια με κενά ή τα στραβά δόντια που σας κάνουν να νιώθετε άβολα με το χαμόγελο σας.
Τώρα πια έχετε την δυνατότητα να βελτιώσετε το σχήμα και την θέση των δοντιών σας με την βοήθεια όψεων σύνθετης ρητίνης ή πορσελάνης.
Οι όψεις ρητίνης είναι πιο οικονομικές από τις όψεις πορσελάνης και με την σωστή συντήρηση μπορούν να αντέξουν πολλά χρόνια.
Μπορούν να χρησιμοποιηθούν σε ένα μόνο δόντι που αντιμετωπίζει αισθητικό πρόβλημα χωρίς να χρειάζεται παρέμβαση στα γειτονικά.
Πρέπει όμως να γνωρίζετε πως το τελικό αποτέλεσμα της εργασίας, εξαρτάται κατά πολύ από την δεξιοτεχνία του οδοντιάτρου.
Το υλικό της σύνθετης ρητίνης είναι οικονομικό ο τρόπος όμως που θα χρησιμοποιηθεί, τα εργαλεία και η τεχνική του γυαλίσματος καθώς και η ανατομία που θα αποδοθεί στο δόντι διαφέρει πολύ από γιατρό σε γιατρό.
Αυτός είναι και ο λόγος που θα συναντήσετε μεγάλες διακυμάνσεις τιμών από οδοντίατρο σε οδοντίατρο.
Μια όψη ρητίνης μπορεί να κοστίσει 100-200 ευρώ για κάθε δόντι.
Οι όψεις πορσελάνης είναι επίσης εξαιρετικές λύσεις για την βελτίωση στην αισθητική του χαμόγελου σας.
Το κόστος τους κυμαίνεται από 400-500 ευρώ για κάθε δόντι. Όπως και στις όψεις ρητίνης σημαντικό ρόλο για το καλό αισθητικό αποτέλεσμα, παίζει η δεξιοτεχνία του οδοντιάτρου και του οδοντοτεχνίτη που θα κατασκευάσουν τις όψεις πορσελάνης.
Οι λύσεις που σας περιέγραψα συνοπτικά, είναι λύσεις απλές και αποδίδουν εξαιρετικά αποτελέσματα.
Ακόμη και αν δεν είστε έτοιμοι να προχωρήσετε σε πιο οριστικές αποκαταστάσεις όπως είναι οι όψεις πορσελάνης, μπορείτε με απλά βήματα και οικονομικές παρεμβάσεις στα δόντια να αποκτήσετε το χαμόγελο που σας αξίζει.