
"Οι μικρές αλλαγές μπορούν να κάνουν μεγάλες διαφορές".
Δεν ξέρω ποιoς το είπε πρώτος αλλά μπορώ να βεβαιώσω πως ισχύει και στην δική μου δουλειά.
Τα τελευταία χρόνια πολλοί ασθενείς μας αποφεύγουν να αντιμετωπίσουν τα αισθητικά προβλήματα που αντιμετωπίζουν με τα δόντια τους, με τον φόβο πως η θεραπεία θα είναι ακριβή.
Μια καλή εναλλακτική λύση στην αντιμετώπιση των αισθητικών προβλημάτων των δοντιών είναι οι αποκαταστάσεις με σύνθετη ρητίνη, που είναι το υλικό που χρησιμοποιείται στα λευκά σφραγίσματα.
Εκτός από τα λευκά σφραγίσματα έχει χρησιμοποιηθεί πολύ και για όψεις ρητίνης ή και για μικρές ανασυστάσεις τμημάτων των δοντιών για αισθητικούς λόγους.
Οι αποκαταστάσεις με σύνθετη ρητίνη είναι οικονομικές, αλλά είναι ταυτόχρονα πολύ απαιτητικές.
Προϋποθέτουν δεξιοτεχνία από τον οδοντίατρο και καλή συνεργασία ασθενούς-γιατρού. Επίσης προσφέρουν άμεσο αποτέλεσμα και μπορούν να αλλάξουν εύκολα την εικόνα του χαμόγελου σας, δίνοντας την αυτοπεποίθηση και την σιγουριά που χρειάζεστε όταν χαμογελάτε.
Ας πάρουμε για παράδειγμα ένα περιστατικό που πρόσφατα αντιμετώπισα στο ιατρείο μου.
Η ασθενής, 30 ετών, ένιωθε άβολα με τα δόντια της γιατί το χρώμα τους ήταν κίτρινο αλλά και γιατί αρκετά δόντια είχαν μικρά προβλήματα που συγκεντρωμένα δημιουργούσαν ένα αποτέλεσμα που δεν της άρεσε.

Επιθυμούσε μια οικονομική λύση αλλά δεν ήθελα να αλλάξει τον χαρακτήρα των δοντιών της, ήθελε να νιώθει άνετα με αυτά χωρίς να μπορεί κάποιος να καταλάβει τις αλλαγές που είχε κάνει.
Πολλά από τα δόντια της είχαν μικρά κατάγματα συνέπεια ενός παλαιού ατυχήματος, ενώ άλλα είχαν κενά μεταξύ τους. Επίσης, έλειπε συγγενώς ένας πλάγιος τομέας που άλλος συνάδελφος στο παρελθόν είχε προσπαθήσει να τον αποδώσει, τροποποποιώντας το σχήμα του κυνόδοντα της. Ο δεύτερος πλάγιος τομέας ήταν υποπλαστικός, είχε δηλαδή μέγεθος μικρότερο από το φυσιολογικό.
Αποφασίσαμε να προσεγγίσουμε το θέμα σταδιακά. Αντιμετωπίσαμε τα προβλήματα ξεκινώντας με αυτά που την απασχολούσαν περισσότερο για να καταλήξουμε σε αυτά που είχαν μικρότερη βαρύτητα.
Η θεραπεία ξεκίνησε με λεύκανση των δοντιών. Η τεχνική που χρησιμοποιήθηκε ήταν της λεύκανσης με νάρθηκες στο σπίτι.
Μετά την λεύκανση προχωρήσαμε σε μικρές αποκαταστάσεις με σύνθετη ρητίνη καθεμία από τις οποίες έγινε σε ένα ραντεβού.
Ανάμεσα στην λεύκανση και τις αισθητικές αποκαταστάσεις συνιστούμε ένα μικρό κενό 2 εβδομάδων περίπου κατά την διάρκεια του οποίου σταθεροποιείται το χρώμα των δοντιών και η οδοντική επιφάνεια γίνεται έτοιμη για να συγκολληθούν πάνω της τα υλικά της αποκατάστασης.
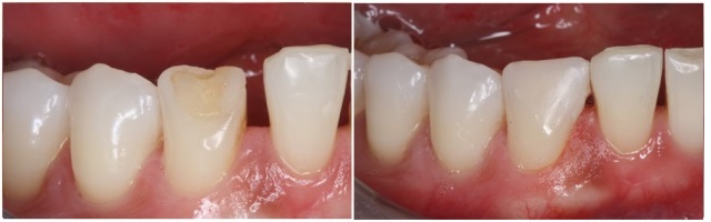
Η πρώτη όψη σύνθετης ρητίνης έγινε στον κυνόδοντα της κάτω γνάθου που είχε σπάσει αλλά είχε και κενό με το μπροστινό του δόντι. Με την βοήθεια της ρητίνης επιτύχαμε να βελτιώσουμε το σχήμα του και να κλείσουμε τα κενά, εκμεταλλευόμενοι στο μέγιστο τον χώρο που μας επέτρεπε η σύγκλειση με τα πάνω δόντια.
Όλες οι αποκαταστάσεις αυτού του είδους πρέπει να επιτρέπουν στον ασθενή την ομαλή λειτουργία των δοντιών και των γνάθων. Αν δεν ρυθμίσουμε το σχήμα των δοντιών με τον σωστό τρόπο, οι αποκαταστάσεις σύντομα θα σπάσουν καθώς το στόμα θα εξακολουθήσει να λειτουργεί όπως και πριν.

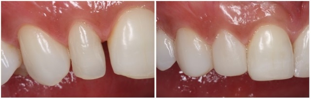
Στην συνέχεια διορθώσαμε τον υποπλαστικό πλάγιο. Προσθέτοντας ρητίνη κλείσαμε το κενό και το δόντι απέκτησε το μέγεθος που έπρεπε να έχει. Ταυτόχρονα με όψη ρητίνης μετακινήσαμε προς τα έξω τον κυνόδοντα της ίδιας πλευράς, ώστε να στέκεται στο οδοντικό τόξο με τον κυρίαρχο τρόπο που πρέπει να έχει.

Ακολούθησε η άλλη πλευρά του τόξου όπου έλειπε συγγενώς ο πλάγιος τομέας. Αφού αφαίρεσα την παλιά αποκατάσταση ρητίνης, διαμόρφωσα τον κυνόδοντα σε σχήμα πλάγιου τομέα.

Καθώς προχωρούσαν οι αλλαγές, προβλήματα που στην αρχή φαινόταν μικρά άρχισαν να φαίνονται περισσότερο.
Έτσι ο κάτω κεντρικός τομέας ο οποίος είχε κενά με τα διπλανά δόντια και φαινόταν κατά την ομιλία, άρχισε να τραβά την προσοχή μας. Με μια όψη σύνθετης ρητίνης, το δόντι απέκτησε σημεία επαφής με τα διπλανά του δόντια και έπαψε να ξεχωρίζει όταν η ασθενής μιλούσε.

Η τελευταία παρέμβαση αφορούσε στους δύο κεντρικούς τομείς. Τα δόντια είχαν μικρά σπασίματα στις άκρες τους και δεν είχαν το ίδιο ύψος. Εδώ δεν χρειάστηκε να χρησιμοποιήσουμε όψεις ρητίνης. Πρόσθεσα σύνθετη ρητίνη μόνο στα σημεία που χρειαζόταν, ώστε τα δύο δόντια να έχουν ίδιο μήκος και συμμετρία στο σχήμα τους.

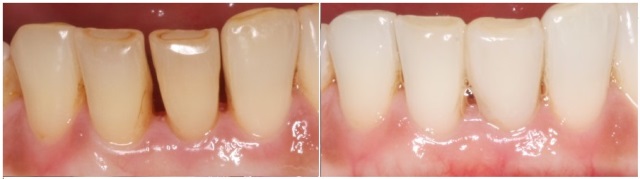
Το τελικό αποτέλεσμα το βλέπουμε στην ακόλουθη φωτογραφία. Οι αλλαγές είναι μικρές και τα δόντια διατηρούν τον χαρακτήρα τους. Δεν έγινε μεταμόρφωση, άλλωστε αυτό επιθυμούσε η ασθενής, έγιναν όμως οι αλλαγές που χρειαζόταν ώστε να αποκτήσει σιγουριά για το χαμόγελο της και την αυτοπεποίθηση που χρειαζόταν.
Μπορείτε να εντοπίσετε τις διαφορές;

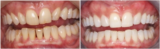
Και μια τελευταία άποψη από αυτές που μου αρέσουν ιδιαίτερα, όχι μόνο γιατί απεικονίζουν τα δόντια πριν και μετά αλλά γιατί δείχνουν πόσο πιο εύκολα και άνετα χαμογελά η ασθενής μας μετά τις αποκαταστάσεις.

Οι όψεις ρητίνης κοστίζουν 100-200 Ευρώ η κάθε μία, ανάλογα με τον οδοντίατρο.
Το κόστος τους έχει να κάνει κυρίως με την ικανότητα του οδοντιάτρου να αποδίδει στα δόντια, το χρώμα και τα μορφολογικά χαρακτηριστικά που πρέπει να έχουν ώστε το αποτέλεσμα να είναι επιτυχημένο.
Ας μην ξεχνούμε πως κάθε αποκατάσταση πρέπει να ολοκληρωθεί στην διάρκεια ενός ραντεβού και έτσι το αποτέλεσμα κρίνεται άμεσα.
Οι όψεις ρητίνης είναι εύκολη λύση για τα αισθητικά προβλήματα των δοντιών σας και μπορούν να γίνουν σταδιακά ώστε να αποφασίσετε για το επόμενο βήμα σας και να καλύπτετε σταδιακά το κόστος τους.
Συζητώντας με τον οδοντίατρο σας, ζητήστε να σας δείξει περιστατικά που έχει αντιμετωπίσει στο παρελθόν με όψεις σύνθετης ρητίνης και όταν είστε έτοιμοι προχωρήστε.
Το αποτέλεσμα θα σας φτιάξει το κέφι!
Δόμνα Ευαγγελίδου-Προσθετολόγος







