Μετά από χρόνια εργασίας στο ιατρείο, διαπιστώνω πως όταν πλησιάζει το καλοκαίρι οι ασθενείς ζητούν συχνά ανανέωση.
Οι ατέλειες των δοντιών και του χαμόγελου, τούς απασχολούν περισσότερο και μια γρήγορη και εύκολη αλλαγή πάντα τους συναρπάζει.
Λίγο οι διακοπές, λίγο η ξενοιασιά του καλοκαιριού που τους κάνει πιο αποφασιστικούς, η αλήθεια είναι πως πριν την καλοκαιρινή μου άδεια απολαμβάνω να προσφέρω μικρές και απλές αλλαγές στο χαμόγελο τους.
Είναι δε, τέτοια η ευχαρίστηση των ασθενών με το αποτέλεσμα, που φτιάχνει και το δικό μου κέφι.
Οι μικρές και γρήγορες αλλαγές γίνονται συνήθως με όψεις ρητίνης για τις οποίες σας έχω μιλήσει κι άλλες φορές. Η τεχνική πολλές φορές ονομάζεται bonding ή ανάπλαση δοντιών.
Μπορείτε να διαβάσετε για τα πλεονεκτήματα και τα μειονεκτήματα των όψεων ρητίνης, να δείτε παλαιότερα περιστατικά και να ενημερωθείτε γα τις εύκολες λύσεις που προσφέρουν.
Κάποιες φορές τις χρησιμοποιούμε για να βελτιώσουμε το χρώμα ενός ή περισσότερων δοντιών και άλλες για να βελτιώσουμε την μορφολογία των δοντιών.
Σήμερα θα δούμε μαζί μερικά περιστατικά που αντιμετώπισα πρόσφατα στο ιατρείο.
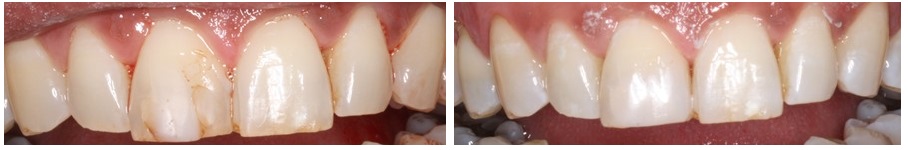
Η πρώτη αποκατάσταση, ήταν η αντικατάσταση μια ανασύστασης σε ένα κεντρικό τομέα.
Η ασθενής μου είχε σπάσει την άκρη του μπροστινού της δοντιού όταν ήταν μικρή, και στην θέση της είχε μια ανασύσταση που την εξυπηρέτησε για πολλά χρόνια.
Στις φωτογραφίες βλέπουμε την αρχική και την τελική εικόνα των δοντιών μετά την λεύκανση και την αντικατάσταση της παλαιάς ρητίνης με μια νέα, που συμπλήρωνε μόνο το κομμάτι του δοντιού που έλειπε χωρίς να καλύπτει μεγαλύτερη επιφάνεια του δοντιού.

Το συνολικό αποτέλεσμα είναι ένα όμορφο, λαμπερό νεανικό χαμόγελο ανάλογο της ηλικίας της.

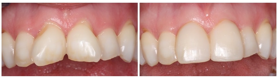
Παρόμοια αλλαγή έγινε και στον Κ. ο οποίος είχε για χρόνια μια ανασύσταση ρητίνης στο μπροστινό του δόντι, ήταν δε τόσο χαρούμενος που είχε "αντέξει" και δεν ήθελε να την αντικαταστήσει.
Η ρητίνη όμως με τα χρόνια είχε αποχρωματιστεί, είχε μαζέψει χρωστικές και επηρέαζε την εικόνα του χαμόγελου του, όπως φαίνεται στην φωτογραφία αριστερά.

Μου πήρε περισσότερη ώρα να τον πείσω να προχωρήσει στην αλλαγή, παρά η αλλαγή αυτή καθ' αυτή. Μέσα σε μισή ώρα απέκτησε ένα ολοκαίνουργιο χαμόγελο.
Στο τέλος ικανοποιήθηκε τόσο πολύ, που μέχρι και το κάπνισμα υποσχέθηκε να κόψει για να αντέξει η καινούργια αποκατάσταση πολλά χρόνια.

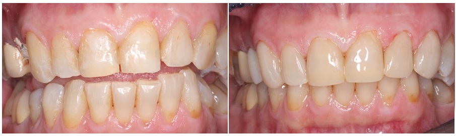
Παρόμοιο πρόβλημα αντιμετώπιζε και η κυρία στο περιστατικό που ακολουθεί.
Εδώ τα δόντια με παλιά αποχρωματισμένα σφραγίσματα ήταν πολλά, όπως φαίνεται στην φωτογραφία αριστερά. Εκτός από την αντικατάσταση των παλαιών εμφράξεων καλύψαμε την οδοντική ουσία που είχε απομείνει με σύνθετη ρητίνη, δημιουργώντας ένα πιο ομοιόμορφο τελικό αποτέλεσμα.

Το χαμόγελο αναδεικνύεται καλύτερα με την βοήθεια ενός επένθετου ρητίνης που κατασκευάσαμε για τον σπασμένο προγόμφιο της δεξιάς πλευράς του στόματος.
Το τελικό αποτέλεσμα είναι ένα υγιές, καθαρό χαμόγελο στο χρώμα των φυσικών της δοντιών.

Κοινό χαρακτηριστικό των παραπάνω περιστατικών είναι πως οι ρητίνες χρησιμοποιήθηκαν για να βελτιώσουν το χρώμα των δοντιών.
Θα δούμε μαζί στην συνέχεια και κάποια περιστατικά όπου οι ρητίνες χρησιμοποιήθηκαν για να βελτιώσουν την μορφολογία των δοντιών, δηλ. το σχήμα τους.
Ξεκινώντας βλέπουμε την περίπτωση ενός νεογιλού κυνόδοντα, ενός κυνόδοντα δηλ. παιδικού, ο οποίος δεν είχε αντικατασταθεί με τον μόνιμο.
Ο τελευταίος είχε μείνει παγιδευμένος στην υπερώα και χρειαζόταν χειρουργική αποκάλυψη και ορθοδοντική μετακίνηση για να έρθει στην σωστή θέση του.
Η ασθενής όμως 25 χρονών ήδη, δεν επιθυμούσε να προχωρήσει σε αυτή την θεραπεία, η οποία αν και ήταν η πιο ενδεδειγμένη την προβλημάτιζε για οικονομικούς και πρακτικούς λόγους.
Στον νεογιλό κυνόδοντα είχε ήδη τοποθετηθεί σύνθετη ρητίνη από άλλον συνάδελφο, το αποτέλεσμα όμως δεν ήταν ικανοποιητικό.

Αφαίρεσα την παλιά αποκατάσταση και κατασκεύασα στην θέση της μια όψη σε σχήμα μόνιμου κυνόδοντα. Παράλληλα κατασκεύασα και μια όψη ρητίνης στον κεντρικό τομέα, με σκοπό να έρθει λίγο πιο έξω ώστε να μην φαίνεται πίσω από το διπλανό του δόντι.
Ο κυνόδοντας δεν συμμετέχει στις λειτουργικές κινήσεις της γνάθου, έχει ικανοποιητικό σχήμα και μέγεθος και έδωσε στην ασθενή μας ένα όμορφο και φυσικό χαμόγελο που τόσο είχε ανάγκη.
Μπορεί πια να χαμογελά με αυτοπεποίθηση, με μια αλλαγή που δεν κόστισε πολύ ούτε σε χρόνο ούτε σε χρήματα.

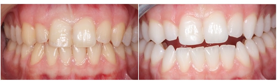
Στο περιστατικό που ακολουθεί η ασθενής μου ενδιαφέρονταν για την βελτίωση της αισθητικής του χαμόγελου της.
Το πρόβλημα της ήταν ο συνωστισμός των δοντιών της, που όμως μπορούσε να αντιμετωπιστεί πλήρως μόνο με ορθοδοντική θεραπεία.
Ειδικά οι δύο κεντρικοί τομείς λόγω της θέσης τους, με τα χρόνια είχαν υποστεί αποτριβή και είχαν χάσει σημαντική ποσότητα οδοντικής ουσίας.
Δουλέψαμε μόνο στους δύο κεντρικούς τομείς, δεν τρόχισα καθόλου τα δόντια απλώς απέδωσα διαφορετική μορφολογία στα δόντια με την βοήθεια της σύνθετης ρητίνης.
Έτσι τα δόντια δεν τραβούν την προσοχή του συνομιλητή της με την ιδιαίτερη μορφολογία που είχαν αποκτήσει με τα χρόνια και το χαμόγελο έχει πιο φυσική εικόνα.
Οι αλλαγές αυτές είναι τόσο μικρές, συνήθως ούτε οι οικείοι των ασθενών μας δεν τις αντιλαμβάνονται.
Προσφέρουν όμως στους ασθενείς χαρά και άνεση στο χαμόγελο και συχνά πολλοί μπορούν να παρατηρήσουν μια ευχάριστη διαφορά χωρίς να ξέρουν που να την αποδώσουν.

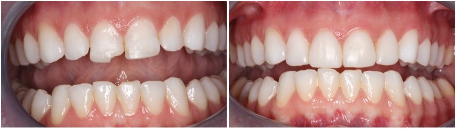
Τελευταία θα δούμε την περίπτωση της Α., η οποία είχε κάνει ορθοδοντική θεραπεία στο παρελθόν και όπως μου είπε ο ορθοδοντικός της είχε διορθώσει μικρές ατέλειες των δοντιών της με σύνθετη ρητίνη.
Οι αποκαταστάσεις είχαν με τον χρόνο φθαρεί, είχαν αλλάξει χρώμα και είχαν σπάσει σε κάποια σημεία. Η ασθενής παράλληλα επιθυμούσε δόντια μεγαλύτερα σε μέγεθος.
Στην περίπτωση της, κατασκεύασα 4 όψεις ρητίνης στα 4 μπροστινά της δόντια και το αποτέλεσμα της άρεσε πολύ.
Το μέγεθος των δοντιών αυξήθηκε, το χρώμα έγινε μόνιμα λευκό ενώ παράλληλα διορθώθηκαν και μικρές ατέλειες που είχε το σχήμα των δοντιών.

Πως σας φαίνονται αυτές οι αλλαγές; Θα τις τολμούσατε;
Αν ενδιαφέρεστε για όψεις ρητίνης, μια απλή γρήγορη και οικονομική τεχνική βελτίωσης της αισθητικής του χαμόγελου σας, δείτε και άλλα περιστατικά του ιατρείου εδώ καθώς και τις όψεις ρητίνης- καλοκαίρι 2019.
Ενημερωθείτε επίσης για τις διαφορές τους με τις όψεις πορσελάνης και αν έχετε απορίες μην διστάσετε να μου γράψετε στα σχόλια.
Δόμνα Ευαγγελίδου, Προσθετολόγος







