
Teeth erosion, is the loss of tooth substance from chemical causes.
The responsible chemical causes are usually acids, initially causing damage to the enamel and in advanced stages, damage to the dentin as well.
In the oral cavity, acids are usually the result of frequent vomiting from eating disorder or acid reflux.
Acids can be induced in the oral cavity from external causes too. Carbonated soft drinks and energy drinks or acidic fruits ,when consumed in large quantities can prove catastrophic.
Sometimes other substances may be implicated in the erosion of the teeth, like the chlorine in the pools where professional athletes swim.
Erosion causes changes on teeth progressively, the results need time to be noticed by the patients. Initially changes on teeth develop in the maxillary teeth and on a later stage they appear on the mandibular teeth as well.
Patients usually seek professional dental help when they notice:
- Change of the morphological characteristics of teeth. Teeth loose their anatomical characteristics, become thinner and fragile especially on the incisal edge of the maxillary incisors.
- Color Change. Loss of enamel from erosion, allows the more intensely colored dentin to show more, resulting in teeth that appear more yellow .
- Sensitivity to hot and cold fluids and food.
The following picture presents teeth with significant erosion due to excessive vomiting during the two pregnancies of our patient. Teeth have lost their shape and they have turned yellow in the areas where the enamel was lost.

Previously, problems of dental erosion were treated with dental crowns, that required further removal of tooth structure before placing them on each tooth individually.
In some cases, it was necessary to proceed with endodontic treatment of teeth or surgical elongation of teeth, in order to have the amount of tooth substance needed to support the porcelain crowns.
Following you see a case I treated 15 years ago, with porcelain crowns, covering the entire tooth surface of each tooth.
Preparing eroded teeth for crowns is a useful practice, but quite aggressive on teeth that already suffer substantial deterioration due to erosion.


In recent years, the evolution in adhesive cementation procedures in Dentistry, allows us to cement thin prostheses, made of porcelain or composite resin, which do not require further removal of tooth structure. Such restorations are ceramic or resin onlays and porcelain veneers.
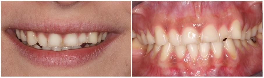
Following is a case of one patient, that suffered significant loss of tooth substance from erosion and was treated with this contemporary protocol.
The patient was unhappy with her smile, and she also had difficulty chewing as the teeth were reacting to all thermal stimuli, hot or cold.
The main reason that made her seek dental care, was smile esthetics. Her teeth appeared small and had rough incisal edges, that were fracturing often, exacerbating the problem day after day.

Most teeth had lost their enamel and a significant portion of dentin. Teeth had also lost their anatomical features while the height of the lower third of her face had decreased.
Old fillings were protruding over her teeth, ans some of the teeth were decayed.

Erosion had affected most of the maxillary and mandibular teeth.
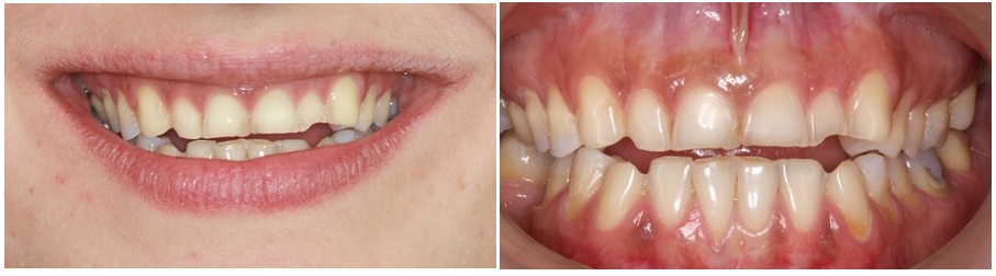
In such a restoration, it is necessary to have guidance before proceeding to actual dental work.
We always start with a mock up, a diagnostic procedure that allows us to present to the patient the smile we can offer.
We can find out if the result makes the patient happy and in the same time we fabricate a useful guide for the provisional and final restorative prostheses that we will place on her teeth.

Patients with erosion, want to have beautiful teeth from the very first day.
It is difficult though, to work only on the buccal side of their anterior teeth. The reason is that teeth are affected primarily from their palatal side and since the erosion took significant time to develop, the teeth of the other arch usually move and close the space necessary to place the restorations.
This is why usually restorations of eroded dentition involve a lot of teeth. Not only because a lot of teeth are affected, but also because there is not enough space for the restorations themselves to be cemented on teeth.
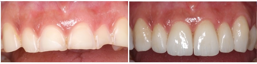
In our patient we started the treatment by providing composite restorations on posterior teeth that were meant to alter the Vertical Dimension of Occlusion(VDO) to give the space needed for the anterior restorations.
The composite build ups where left in place for some time to make sure that the new VDO was well accepted by the patient.

In the same time space was created between the upper and the lower teeth to place new restorations.
We fabricated resin veneers for the palatal side of anterior teeth and porcelain veneers for the labial side of the same teeth.

We create a sandwich, that contains the tooth itself without any further removal of tooth structure that has already happened due to the erosion.
The following picture presents the same teeth after the cementation of the palatal and labial restorations. 
On a letter stage we started changing the composite build ups, with all ceramic restorations made out of e-max porcelain.
Some of them were covering only the occlusal surfaces of the teeth, while others were covering the buccal sides too, meeting the esthetic demands of our petient.

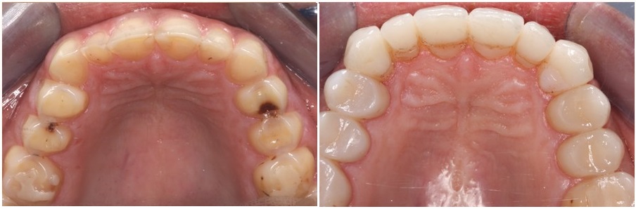
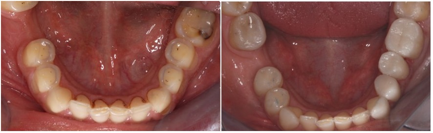
The following pictures present the occlusal surfaces of the maxillary and mandibuler teeth, before and after the cementation of our aditive restorations.


The treatment is time consuming and technique-sensitive.
It demands delicate and precise dental handling, patience and time from the patient.
The final result is impressive. Patient smiles with self confidense and the teeth are not sensitive any more to thermal stimuli.

The most significant advantages if this adhesive additive rehabilitation with all ceramic restorations are:
- Minimal reduction of tooth structure
- Metal-free restorations
- Coverege of the exposed dentin and replacement of eroded enamel
- Preservation of tooth structure between teeth
- Rehabilitation of the lost functional elements of the mouth
Rehabilitation of eroded teeth can be done succesfully with adhesive cementation today giving back to our patients the lost self confidence and functionality they are looking for, without further removal of the tooth strucrure.
Do you suffer from teeth erosion? Are you considering to seek proffesional care for your condition?
We are here to help you, with state of the art prosthodontics.
Domna Evangelidou, Prosthodontist







